こんにちは
私は歯科助手をしています。(19歳)
私は前歯がねじれていることが気になっていた(主訴)ので、
今マウスピース型カスタムメイド矯正装置(以下インビザライン)にて矯正治療中です。
まだ治療中ですが、今回は私の症例をお見せしていきたいと思います。
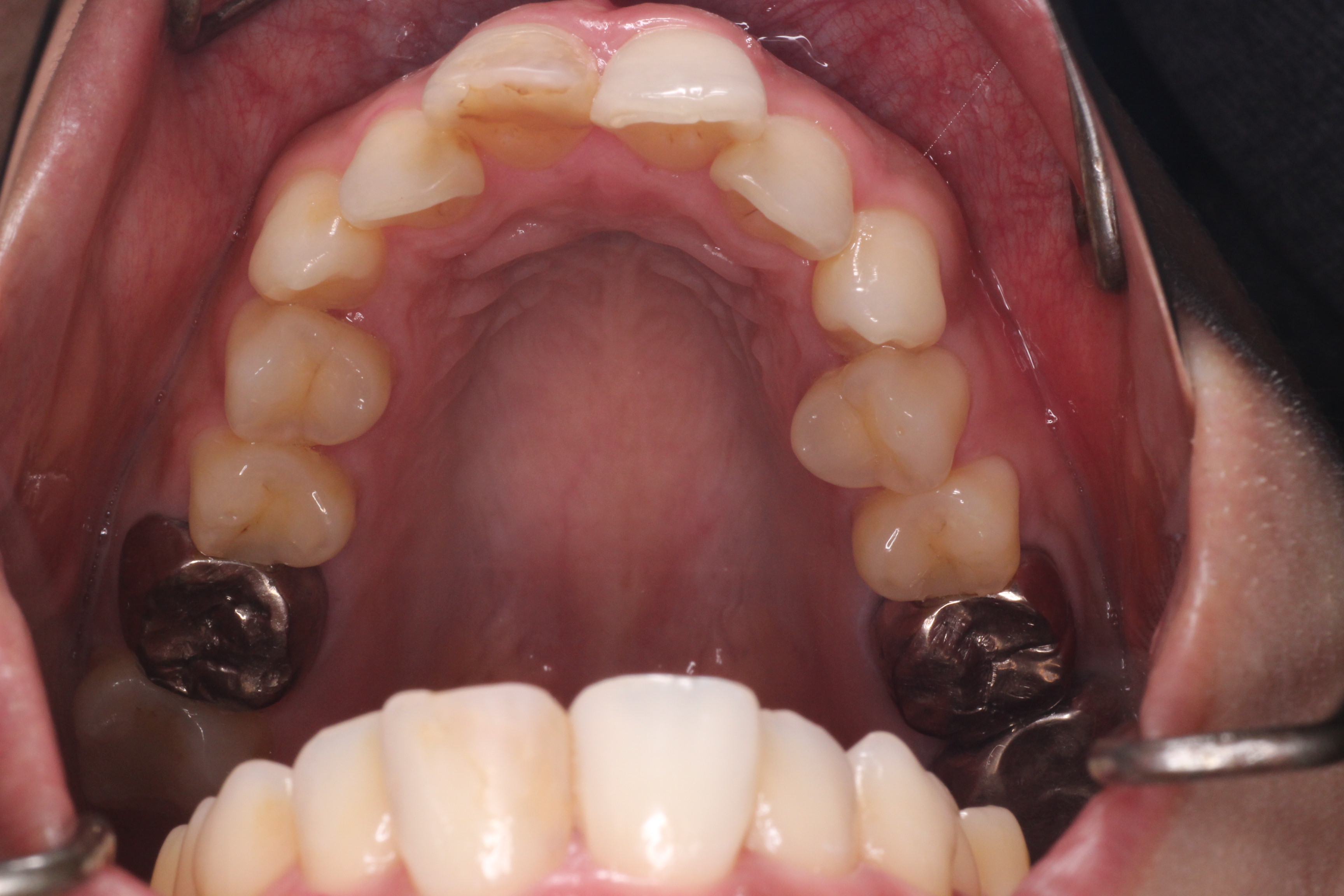
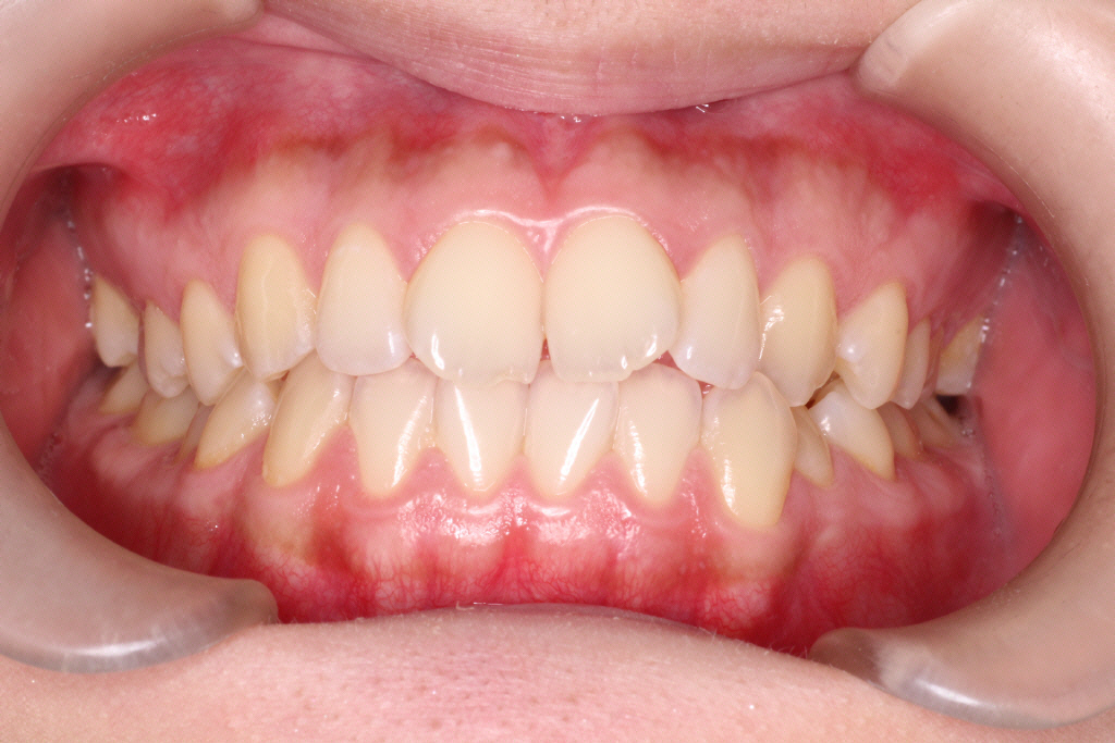
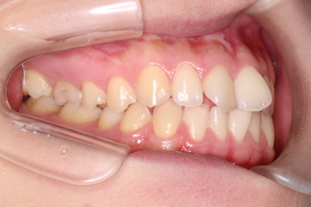
初診時の状態です。
初診時の奥歯の噛み合わせは上の歯と下の歯が1歯対1歯で噛めているので、奥歯はそのまま動かさず、
ねじれている前歯を動かしていきたいのですが、スペースがないので、そのスペースをつくらなければなりません。


スペースをつくる方法は3つあります。
①拡大
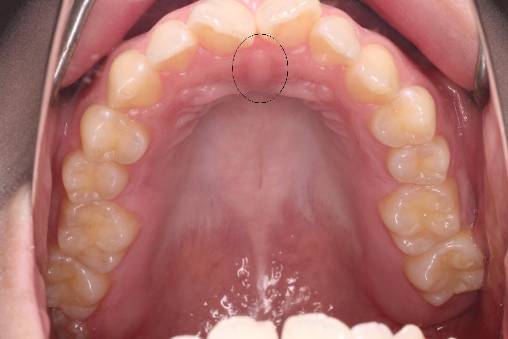
左側が私の歯列です。
右側の歯列と比べてみると広いのがわかります。
歯のアーチが狭いわけではないので拡大には限界があります。


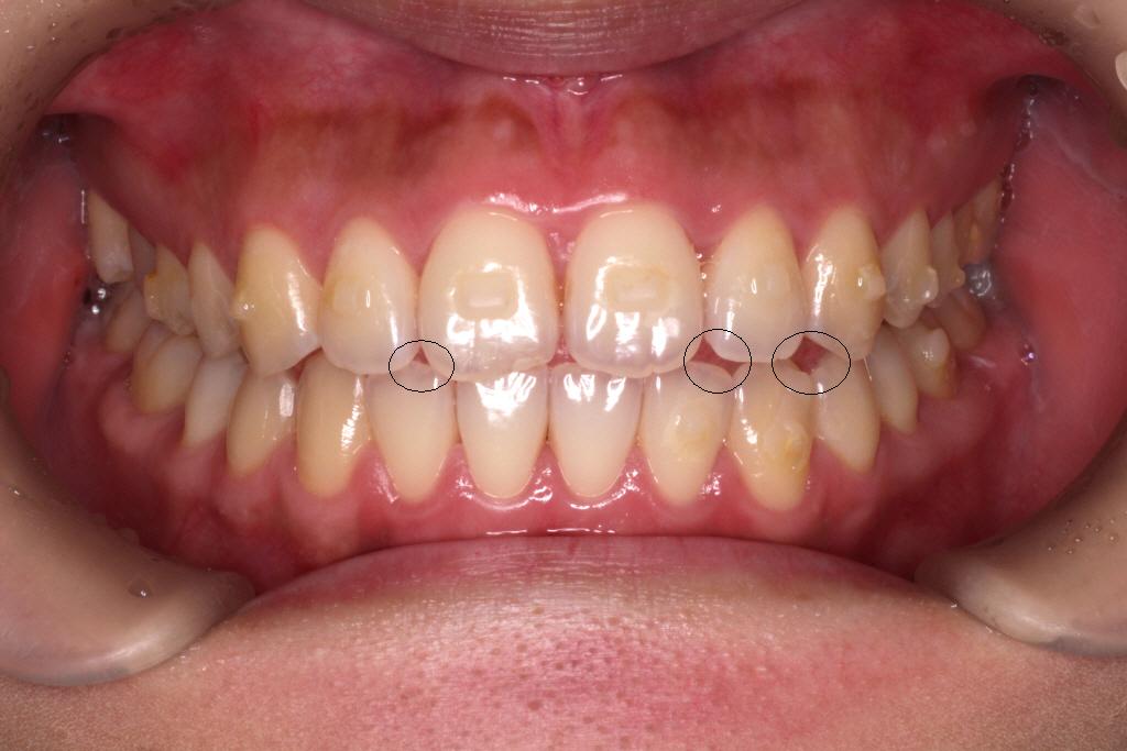
②抜歯
前歯がすごい出ているわけでもなく、前歯の位置はそのままで、ねじれだけとりたいので歯を抜くほどのスペースは必要ない。
③ディスキング
歯と歯の間を削り、歯の幅を調整することです。私の場合はディスキングだけを行い並べていきます。
ここでディスキング(IPR)について詳しく説明します。
インビザラインではディスキングのことをIPRとよびます。
IPRとは歯が並ぶスペースがない時に歯の表面のエナメル質を削る処置です。
エナメル質の厚さは1~2mmあり、IPRで削るのは約0.2mmから0.5mm程度でエナメル質の厚みのおよそ3分の1以下です。IPRが原因で虫歯やしみる可能性は低いと言われています。事実、当院の患者様からはそういった症状はでていません。
IPRの量が多い時は虫歯を削るような太いバーでは削らず、削りすぎや虫歯、しみるのを防ぐために専用の細いバーで削ります。
左が虫歯を削るバーで、右が専用の細いバーです。↓

さらにIPR量が少ない時は削りすぎないように特殊な糸鋸で削ります。
下の写真が糸鋸です。

IPRの時期、削る量、削る部位は患者様によって異なります。
そのため当院では、あらかじめ患者様のクリーンチェックを確認し、患者様別に治療計画をたてます。
患者様には事前にIPRの時期等をお伝えするようにしています。
私のインビザラインの流れを説明していきます。
前歯のねじれをとりたいので、前歯を中心にIPRをしました。
IPRをしてスペースを作って、前歯を動かしていきます。
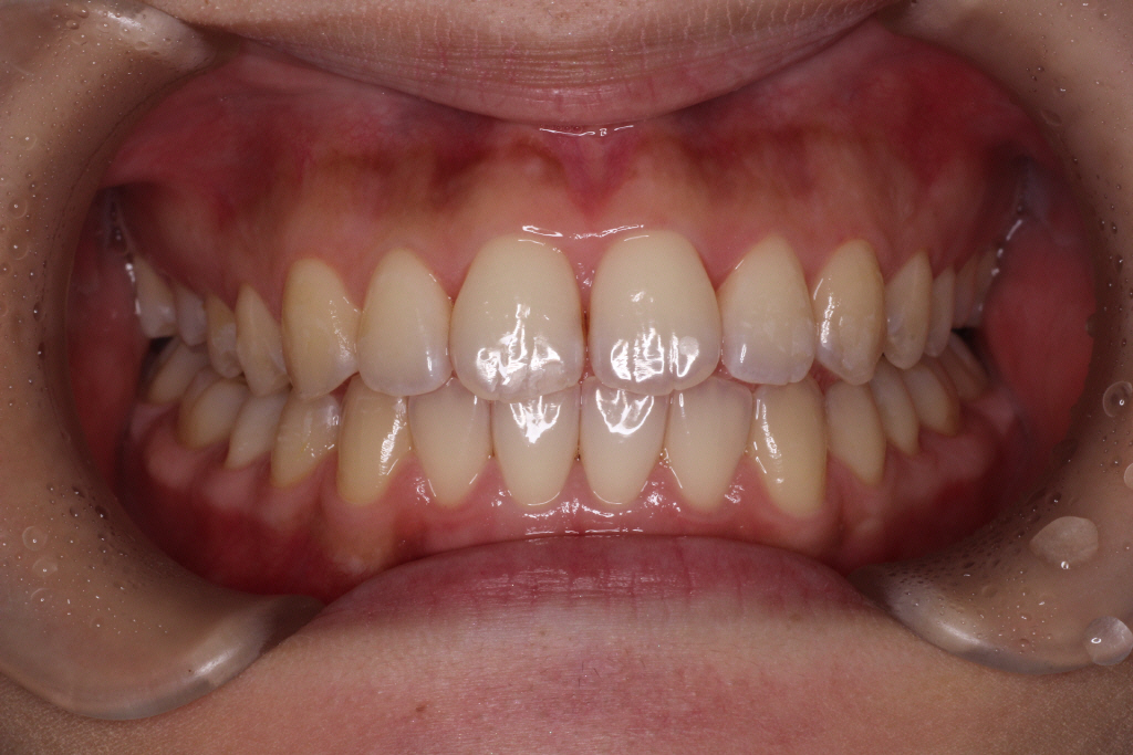
1回目は全部で25個で1個1週間ずつ使い期間は7ヶ月かかりました。
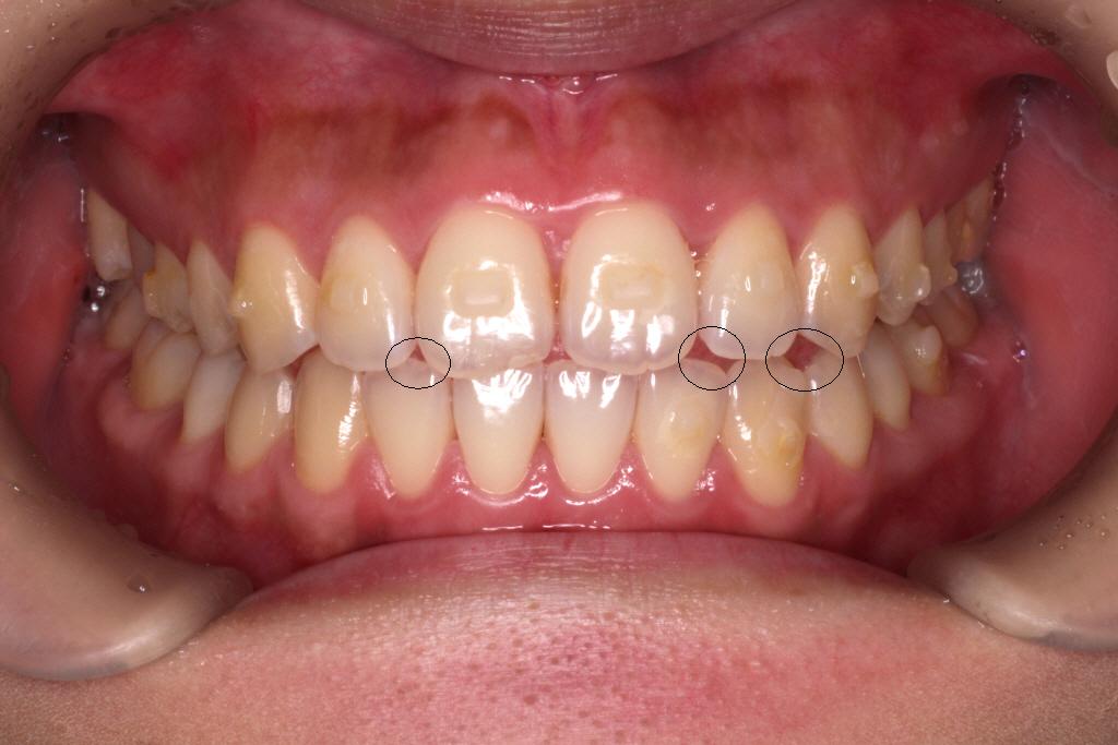
下が1回目のインビザラインが終わった時の写真です。気になっていた前歯のねじれはきれいに並びました。



もう少し噛み合わせを整えるために、アタッチメントを一度全部とりリファイメント(微調整)のお口の型どりをおこないます。
6週間後に新しいマウスピースが届いたので、アタッチメントをつけて再スタートします。
2回目もIPRの足りなかったところは、もう少し隙間をあけます。
2回目のインビザラインのクリーンチェックです。最後のアライナーの12番です。
上のクリーンチェックでは前歯に隙間は空かない予定でしたが、

私は、舌癖(舌を前に出してしまう)があることがわかりました。
舌を前に出してしまうと、前歯を押してしまうためインビザラインで動かしていくときに妨げになってしまいます。


ここで舌を常に上あごにつけること、
舌を前に出さないように舌癖訓練を開始しました。
行った訓練は、ポッピング スポット 嚥下(えんげ) です。
ポッピングは舌全体を上あごに吸い上げ、‘‘ポン”と音をだします。
嚥下は舌を上あごに吸い上げて奥歯を噛み舌が出ないように唾液を飲み込みます。
スポット(上の写真)は前歯の少し後ろのプクッとしている所に舌の先をつけ、舌全体を上あごにつけます。
舌の訓練を続けながらリファイメントをして噛ませていきます。
治療はまだ続く予定ですので、矯正が終わったらまたブログにのせます。
舌癖は歯並びを悪くする原因のひとつです。
舌癖による不正咬合(悪い歯並び)は、「うまく発音できない」「食べ物をよくこぼす」等あらゆる症状を引き起こします。
自分の舌の位置が正しいかどうかは判断できないと思うので、舌癖の有無の診断も行いますので、一度歯並びのご相談にお越しください。
TEL 0566-73-0311
https://gototatsuya.com/contact/
矯正料金
検査料:40000円(税抜き)
基本施術料:700000円(税抜き)
保定料:40000円(税抜き)
調整料:4000円(税抜き)
矯正治療のリスク・デメリットについて
・矯正調整後、歯の痛みが生じることがあります。基本的には一時的なものなので数日で慣れてきます。
・歯肉、頬及び唇に、矯正装置による擦り傷または痛みが生じる場合があります。当院では痛みを軽減できるワックスを渡しています。
・患者様が飲食後適切に歯磨及びフロス等の補助器具を行なわなかった場合、 虫歯・歯周病・歯肉炎・脱灰等が生じる可能性があります。当院では矯正の途中で虫歯ができた場合他院様を紹介させていただきます。
・矯正装置装着により一時的に発音に影響を与える場合があります。
・咬合状態が治療過程全体を通して変化する場合があり、結果として患者様に一時的な不快感を与える可能性があります。
・矯正治療の最終段階で、咬合調整が必要となる場合があります。
・長期間にわたって重なっていた歯は、歯間接触下部の歯肉組織が失われている場合があり、歯列矯正を行うことで、「ブラックトライアングル」が発生する可能性があります。
・矯正治療中、歯根の長さが短くなる場合がありますが、臨床的に問題ないことがほとんどです。
・矯正中、歯の移動に伴い稀に歯の神経が壊死することがあります。その際歯内治療もしくは追加的な補綴修復処置等の追加的な歯科治療が必要となる可能性があります。
・稀に、治療中または治療後、顎関節に問題が生じる場合があり、それによって関節痛、頭痛または耳の障害が生じる場合があります。これらの症状と矯正治療との関係ははっきりしていません。
・稀に、金属・レジン等にアレルギー反応が発現する場合があります。
リスク・デメリットを列挙しましたが、必ず起きるわけではありません。








