今回のブログはマウスピース型カスタムメイド矯正装置(以下インビザライン)の症例についてお見せしたいと思います。
こちらの患者様N様は、20歳女性です。
主訴は、前歯のデコボコでした。
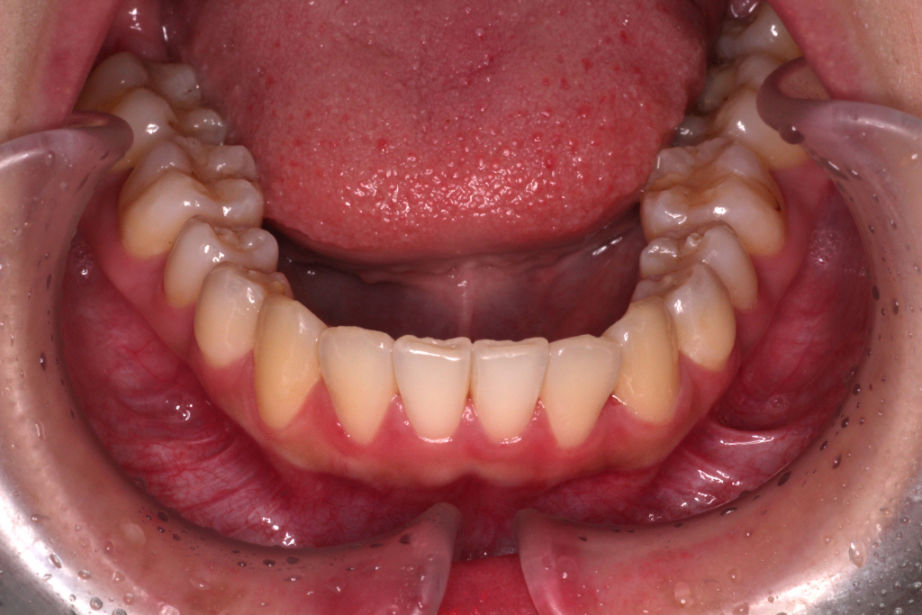
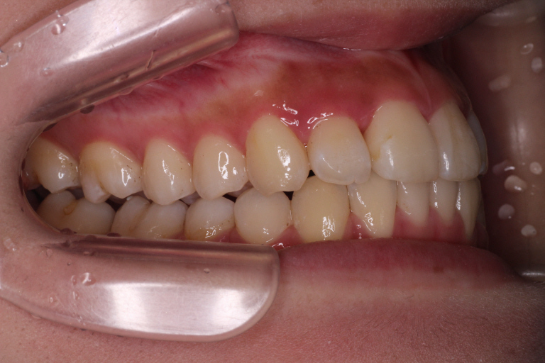
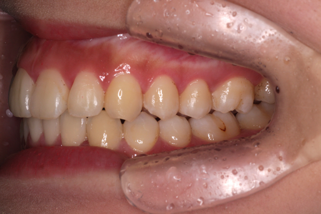
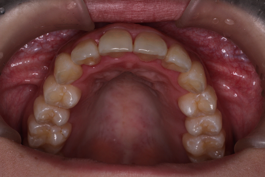
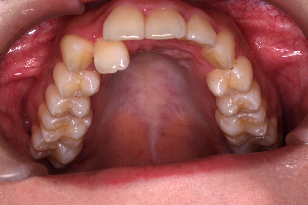
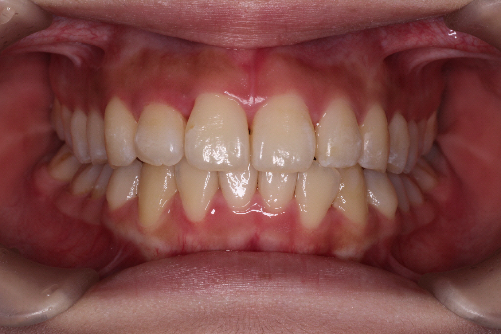
初診時の写真です。





叢生(デコボコ)と上下ともに顎に対して歯が内側に倒れていることがわかります。
叢生を治すためには歯が並ぶためのスペースが必要です。
診断:前歯部叢生
スペースを作る方法は3つあります。
①拡大
あごに対して歯が内側に倒れているので、歯を立たせながら右上の完全に中に入っている歯を外に出してこれるようにスペースを作ります。
下の歯も同様に歯が内側に倒れているので、広げる必要があります。
②抜歯
この患者様は上顎前突(上の前歯が出ている状態)ではないので、歯を抜いてしまうと口元が下がり過ぎてしまうので抜歯を選ぶことはできません。
③IPR
歯と歯の間を削り、歯の幅を調整することです。
この患者様の場合は拡大だけでなくIPRをして少しスペースを作る必要があります。
インビザラインの流れを説明していきます。
下の歯のねじれを取りたいので、1番ガタガタしている左前歯を中心にIPRをしました。
上の歯が1本中に入っている歯があります。
その歯を歯列の中に入れるために、拡大をしながら左側の歯を1本ずつ奥にずらし、中に入っている歯を出します。
1回目は全部で25個で、1個1週間ずつ使い期間は7ヵ月かかりました。
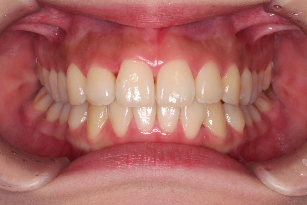
下が1回目のインビザラインが終わった時の写真です。
気になっていたデコボコはきれいになりました。





もう少し噛み合わせを整えるために、アタッチメントを一度全部取り、微調整のお口の型どり(リファイメント)を行います。
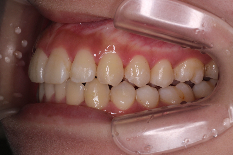
初診時、噛み合わせが深く、バイトランプの効果があまり得られず、まだ歯が内側に倒れていることがわかります。
バイトランプとは上の前歯の裏側に噛み合わせを上げるためのでっぱりです。
また上の歯を基準に正中を見ると、下の歯が左にずれているのがわかります。
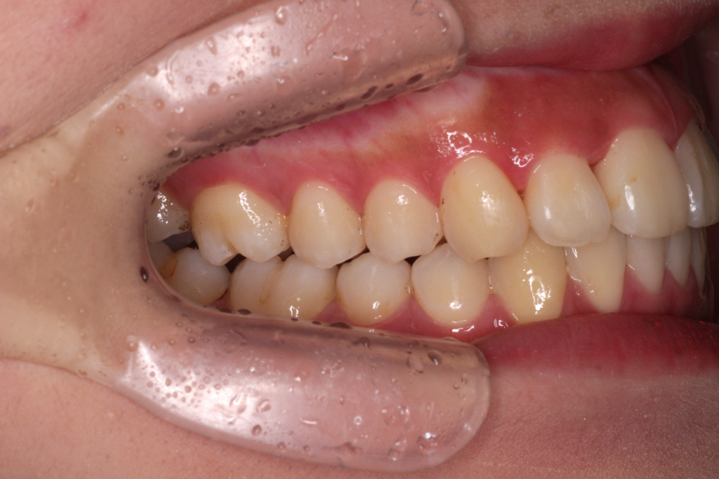
下の歯をもう少し右にもってくると正中が合うので、下の歯の右側にIPRをしてスペースをつくり正中を右にもってきます。
2回目のインビザラインが終わった時の写真です。





2回目は全部で12個で期間は3ヵ月かかりました。
矯正にかかった期間は1年5ヵ月です。
N様には歯並びがきれいになってとても喜んでいただきました
患者様によって治療方法、使う装置、期間等様々です。
歯並び気になる方、またマウスピース矯正が気になっている方はぜひ無料相談にお越しください
TEL 0566-73-0311
https://gototatsuya.com/contact/
矯正料金
検査料:40000円(税抜き)
基本施術料:800000円(税抜き)
保定料:40000円(税抜き)
調整料:4000円(税抜き)
矯正治療のリスク・デメリットについて
・矯正調整後、歯の痛みが生じることがあります。基本的には一時的なものなので数日で慣れてきます。
・歯肉、頬及び唇に、矯正装置による擦り傷または痛みが生じる場合があります。当院では痛みを軽減できるワックスを渡しています。
・患者様が飲食後適切に歯磨及びフロス等の補助器具を行なわなかった場合、 虫歯・歯周病・歯肉炎・脱灰等が生じる可能性があります。当院では矯正の途中で虫歯ができた場合他院様を紹介させていただきます。
・矯正装置装着により一時的に発音に影響を与える場合があります。
・咬合状態が治療過程全体を通して変化する場合があり、結果として患者様に一時的な不快感を与える可能性があります。
・矯正治療の最終段階で、咬合調整が必要となる場合があります。
・長期間にわたって重なっていた歯は、歯間接触下部の歯肉組織が失われている場合があり、歯列矯正を行うことで、「ブラックトライアングル」が発生する可能性があります。
・矯正治療中、歯根の長さが短くなる場合がありますが、臨床的に問題ないことがほとんどです。
・矯正中、歯の移動に伴い稀に歯の神経が壊死することがあります。その際歯内治療もしくは追加的な補綴修復処置等の追加的な歯科治療が必要となる可能性があります。
・稀に、治療中または治療後、顎関節に問題が生じる場合があり、それによって関節痛、頭痛または耳の障害が生じる場合があります。これらの症状と矯正治療との関係ははっきりしていません。
・稀に、金属・レジン等にアレルギー反応が発現する場合があります。
リスク・デメリットを列挙しましたが、必ず起きるわけではありません。








