こんにちは
今回は「インコグニト」という装置を使って矯正をされた
患者様(27歳)の症例をご紹介いたします。
インコグニトについての詳細は4つ前のブログタイトル
「裏側矯正インコグニトについて」に書いてありますので是非ご一読下さい。
主訴:前歯の凹凸・出っ歯
診断名:叢生・上顎前突
この患者A様は、カウンセリング時歯の凸凹と出っ歯を気にされておりました。
歯を抜く事に対して抵抗がなかった為上下左右4番目の歯を抜く
インコグニトにて治療を行う事になりました。
また、A様は左上と右下の親知らずが既に萌えており、
治療途中で歯茎が腫れてしまうのを防ぐために先に歯を抜きました。
患者様によって異なりますが、親知らずが萌えている事により
矯正治療の邪魔になる場合は状況によって先に抜く場合があります。
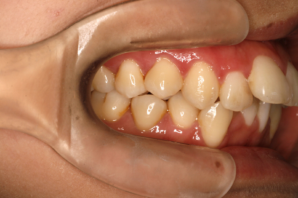
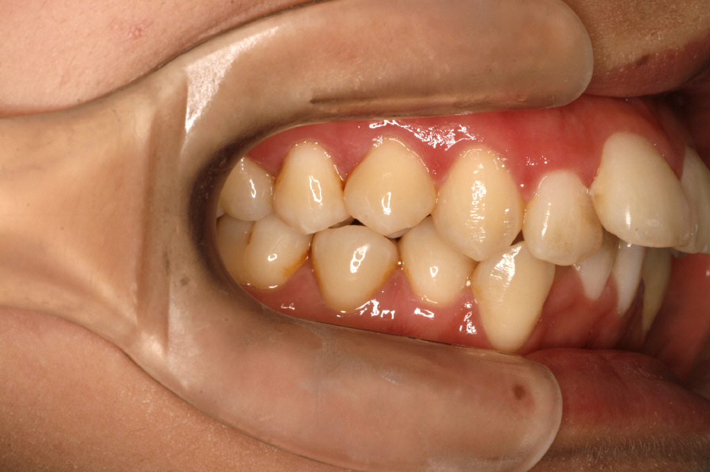
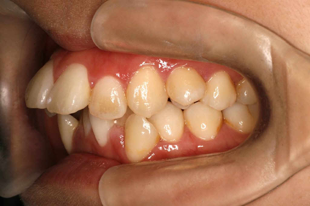
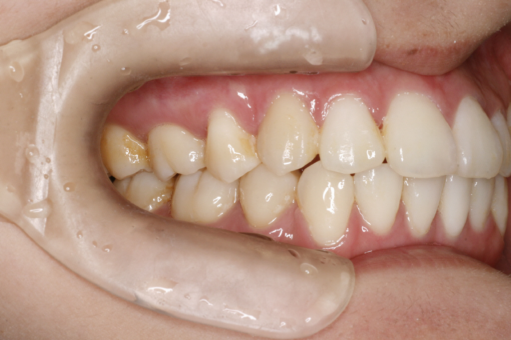
こちらが初診時のお口の写真です。
歯のがたつきはもちろんの事、横顔の写真を見ると出っ歯の為口元が出ているのが分かります。
また、正面の口を閉じている写真を見るとあごにくしゅっとしたシワが入っています。
これは、出っ歯の方特有で無理に口を閉じようとするからできてしまうのです。
インコグニトの治療は大きく③つに分かれます。
第①段階・・・歯のがたつきをとる
第②段階・・・前歯をさげる
第③段階(最終)・・・噛み合わせを作る
まず、第①段階の歯のがたつきをとる為の治療ですが
初めに歯の型取りをした物を海外へ送り
海外からその人その人にあった形の装置が届きます。(約2ヶ月)
↑このようにまとまりで届く為フィットが悪くならない様に
すぐに上と下をつけなければいけません。
インコグニトの治療は、フル・ハーフと二種類あり
フルの場合は上下の歯どちらとも歯の裏に装置を付けていく治療、
ハーフの場合は上の歯のみ歯の裏に装置を付け、下の歯は表に装置を付ける治療となります。
下の歯は、上の歯ほど話すときや笑う時に装置が目立ちにくく
料金的にもフルよりもお安くなっておりますので、
ハーフを選ばれる患者様もいらっしゃいます。
ここまで来たら、次は第②段階の前歯を下げる為の治療へ移っていきます。
上の歯の裏側に写真のようなゴムをかけて歯を後ろへ下げていきます。
また、前歯をさげる為にインプラントOPEという歯茎に小さいネジを打ち込み
ゴムをかける事により遠心力で奥歯を後ろに下げるという治療も一緒に行っていきます。
詳細については、題名「インプラントOPEについて」のブログをご一読下さい。
そして、最終段階の噛み合わせを作る為
奥歯から装置をはずしていきます。
以上がインコグニトの治療の流れとなります。
実際にA様は2年と10か月治療期間がかかりました。
(期間は個人差がありますので患者様によって異なります。)
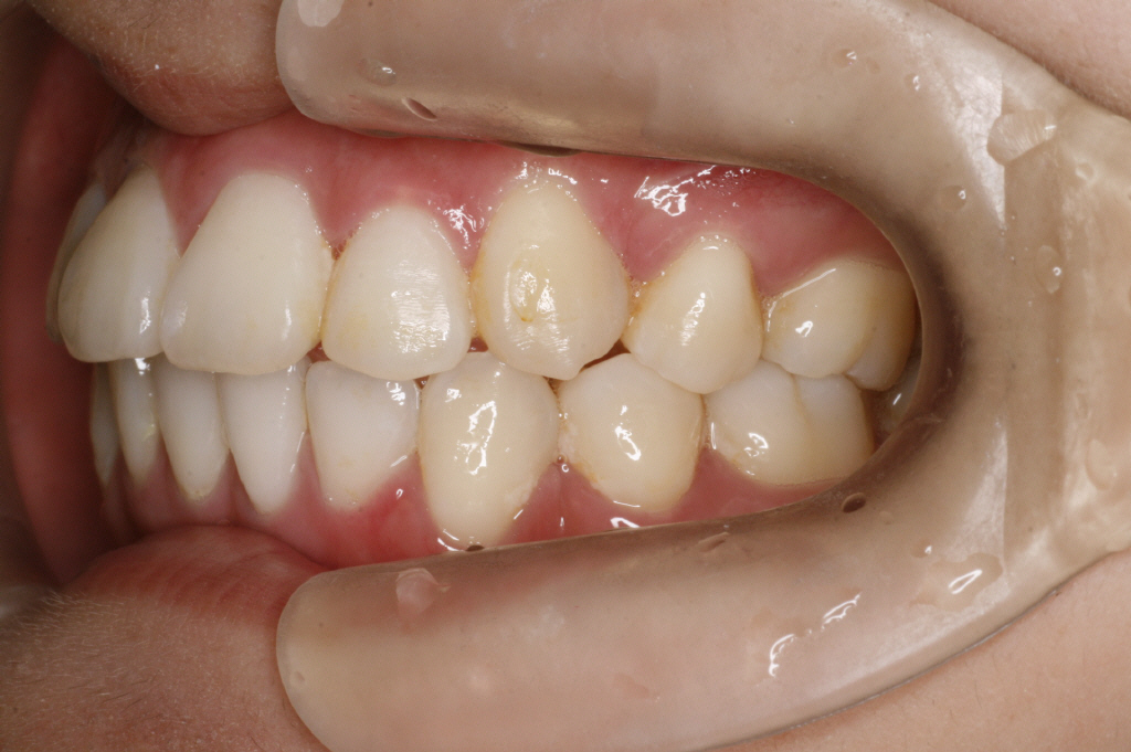
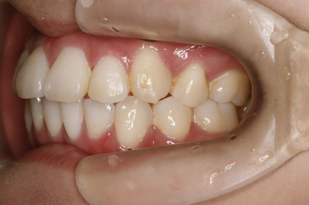
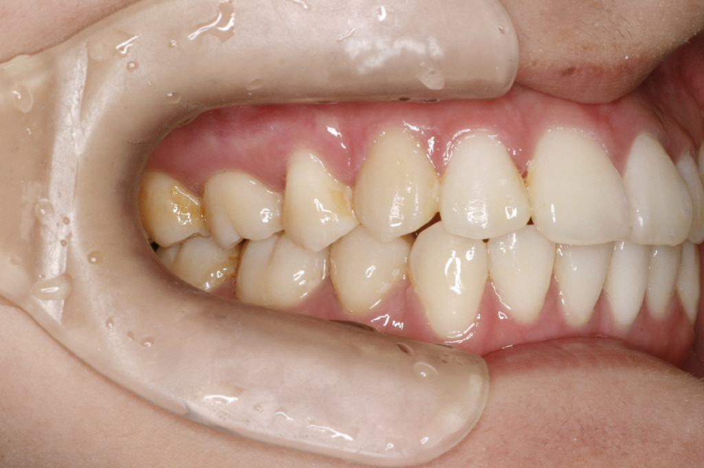
こちらが最終的なお口の写真です。
あごのシワがなくなりました!口元もさがったのが分かります。
今回はA様に実際にインコグニトで治療をしてみて
どう感じたか、つらかったこと、よかったことをインタビューしてみました。
つらかった事
→食事など物を噛む時に痛みがあった。
食べかすが装置に挟まる為、歯磨きが通常よりも大変だった。
よかった事
→以前よりも自信を持って笑えるようになった。
人前に出る事に抵抗がなくなった。
矯正というと歯の表にワイヤーを張るイメージをもたれている方も
多いと思います。
インコグニトは裏側に装置を張る為、
装置をつけている事が気づかれず、従来の常識を覆す矯正治療です。
気になる方はぜひお問い合わせください。
無料でカウンセリングを行っております。
https://gototatsuya.com/contact/
電話:0566-73-0311
矯正料金
検査料:40000円(税抜き)
基本施術料:800000円(税抜き)
保定料:40000円(税抜き)
調整料:4000円(税抜き)
リスク・デメリットについて
・矯正調整後、歯の痛みが生じることがあります。基本的には一時的なものなので数日で慣れてきます。
・歯肉、頬及び唇に、矯正装置による擦り傷または痛みが生じる場合があります。当院では痛みを軽減できるワックスを渡しています。
・患者様が飲食後適切に歯磨及びフロス等の補助器具を行なわなかった場合、 虫歯・歯周病・歯肉炎・脱灰等が生じる可能性があります。当院では矯正の途中で虫歯ができた場合他院様を紹介させていただきます。
・矯正装置装着により一時的に発音に影響を与える場合があります。
・咬合状態が治療過程全体を通して変化する場合があり、結果として患者様に一時的な不快感を与える可能性があります。
・矯正治療の最終段階で、咬合調整が必要となる場合があります。
・長期間にわたって重なっていた歯は、歯間接触下部の歯肉組織が失われている場合があり、歯列矯正を行うことで、「ブラックトライアングル」が発生する可能性があります。
・矯正治療中、歯根の長さが短くなる場合がありますが、臨床的に問題ないことがほとんどです。
・矯正中、歯の移動に伴い稀に歯の神経が壊死することがあります。その際歯内治療もしくは追加的な補綴修復処置等の追加的な歯科治療が必要となる可能性があります。
・稀に、治療中または治療後、顎関節に問題が生じる場合があり、それによって関節痛、頭痛または耳の障害が生じる場合があります。これらの症状と矯正治療との関係ははっきりしていません。
・稀に、金属・レジン等にアレルギー反応が発現する場合があります。
リスク・デメリットを列挙しましたが、必ず起きるわけではありません。





















