今回はマウスピース型カスタムメイド矯正装置(以下インビザライン)の症例についてお見せしたいと思います。
こちらの患者様F様は、20歳女性です。
主訴は、噛み合わせが悪いことでした。
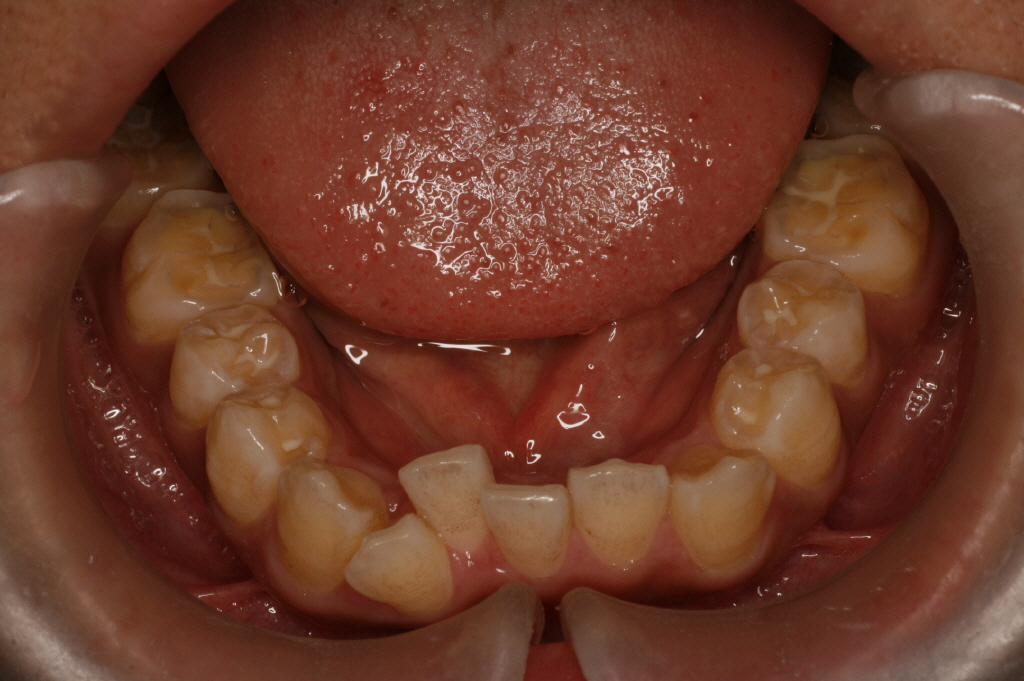
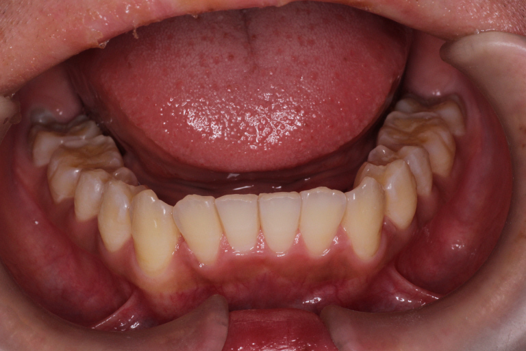
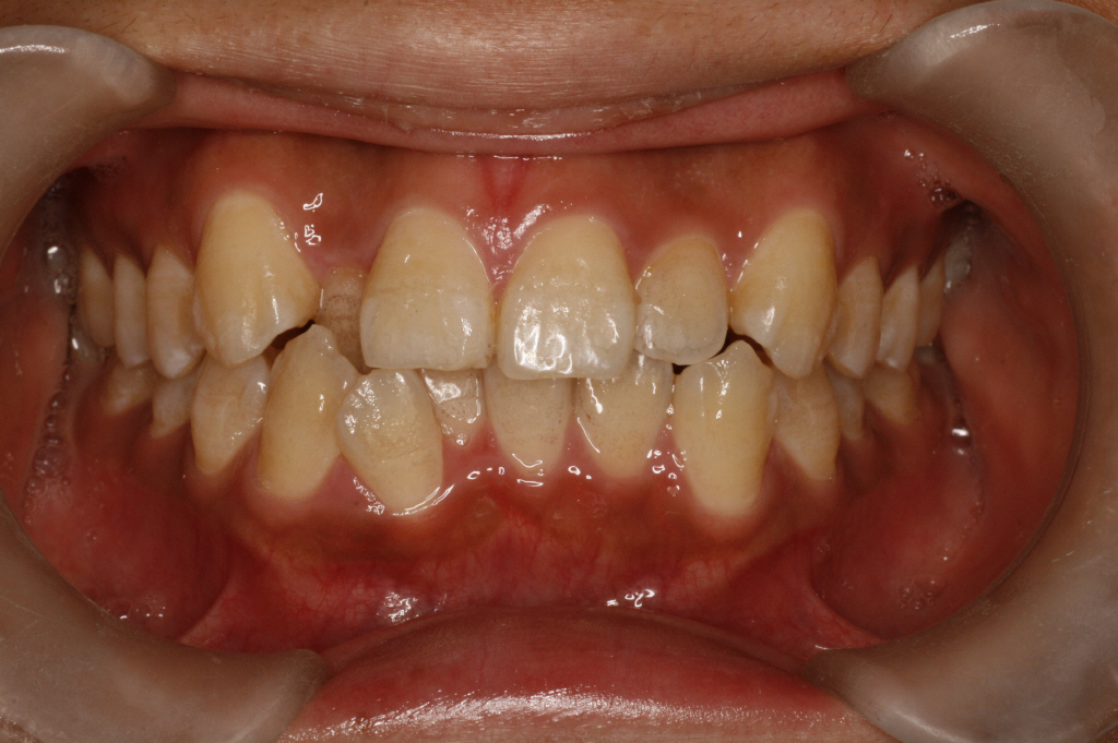
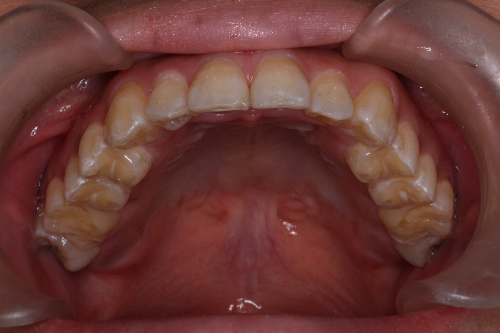
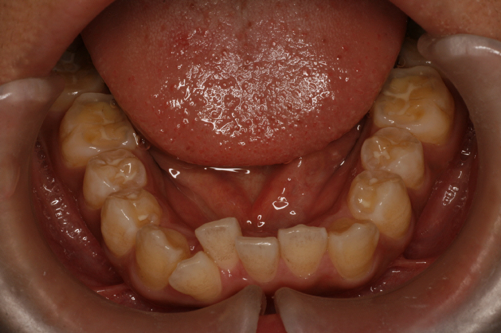
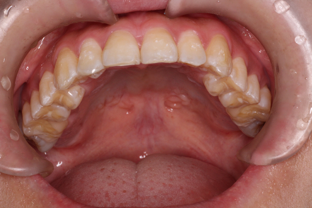
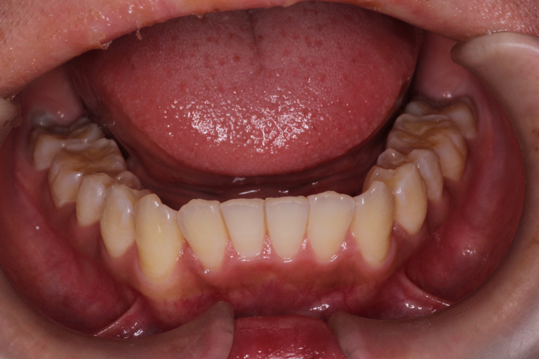
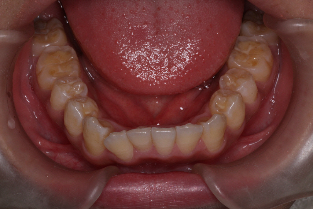
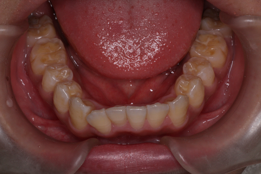
初診時の写真です。





上下ともに前歯に叢生(歯のデコボコ)がみられます。
診断:前歯部叢生
叢生を治すためには歯が並ぶスペースが必要です。
奥歯の噛み合わせは1歯対2歯で噛めていて、奥歯の噛み合わせはいいので奥歯を動かさず、前歯だけ動かしたいので前歯にIPR(歯と歯の間を削る)をして右上の完全に中に入っている歯を外に出してこれるようにスペースを作ります。
下顎は拡大とIPRをしてスペースをあけ歯を出します。
1回目は全部で40個で、1個1週間ずつ使い期間は10ヵ月かかりました。
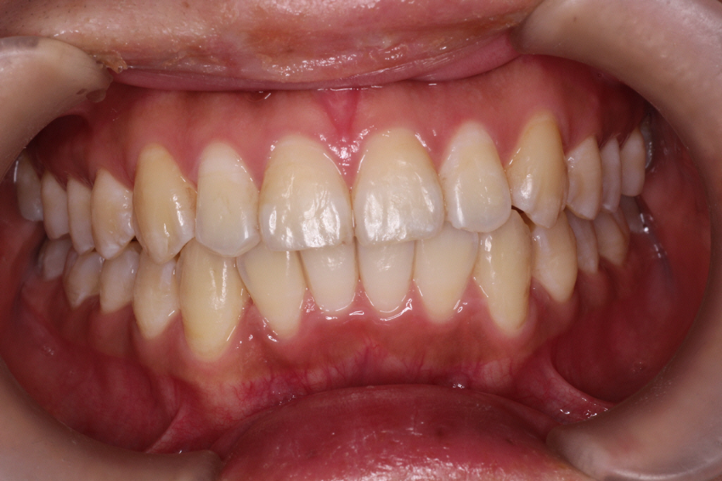
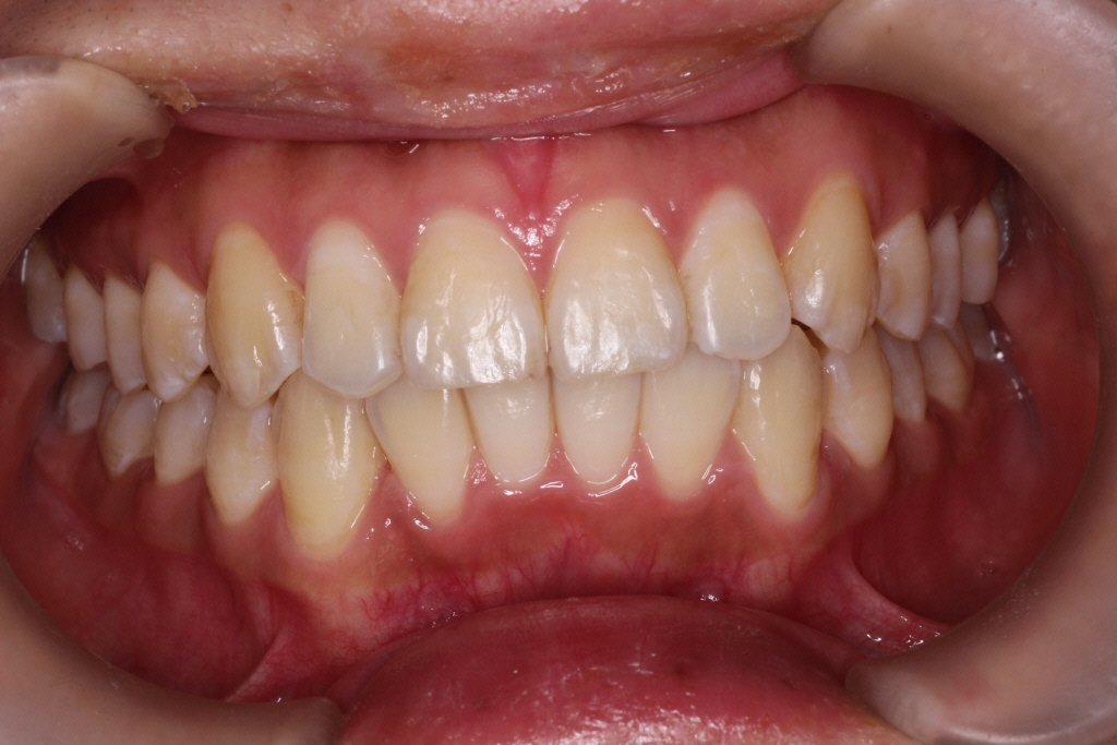
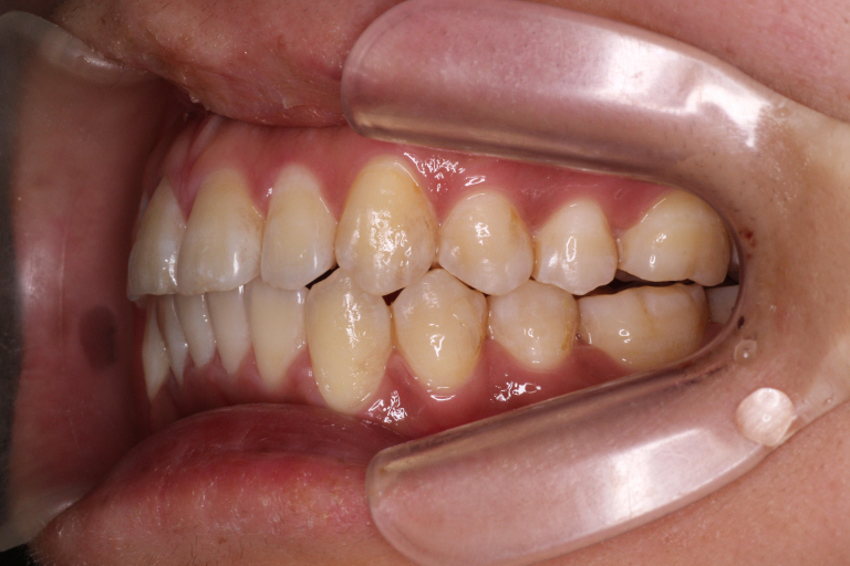
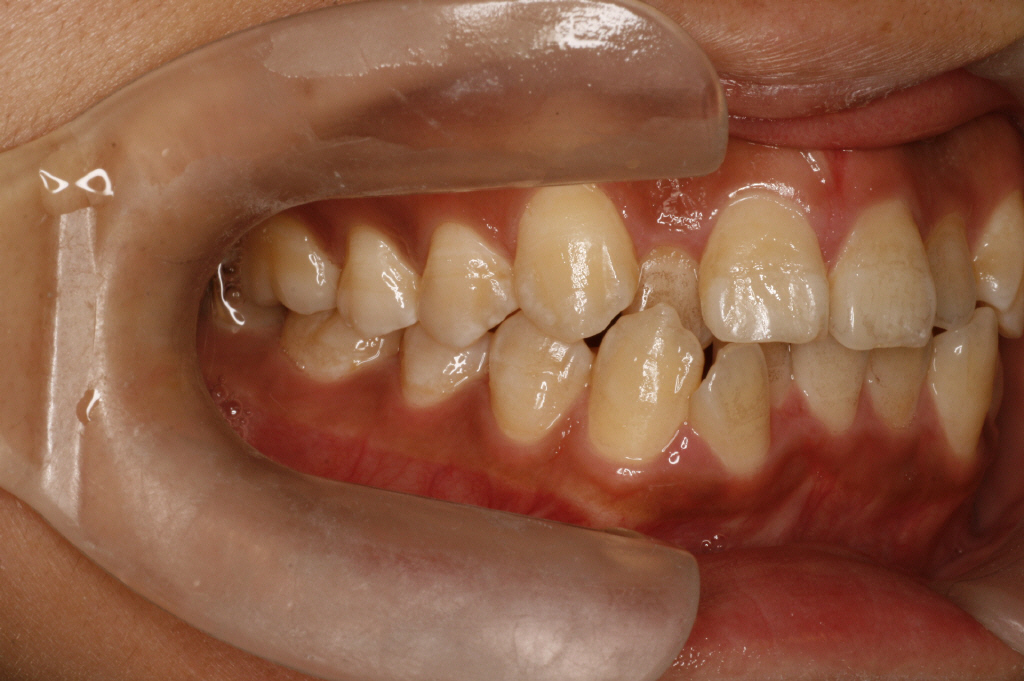
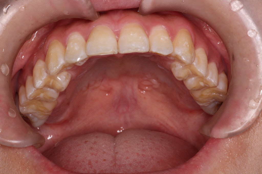
1回目のインビザラインが終わった時の写真です。





前歯の大きながたつきはなくなりましたが、下の前歯に叢生が残っており奥歯の噛み合わせが少しゆるい気がします。
もう少し噛み合わせを整えるために、アタッチメントを一度全部取り微調整のお口の型どり(リファイメント)を行います。
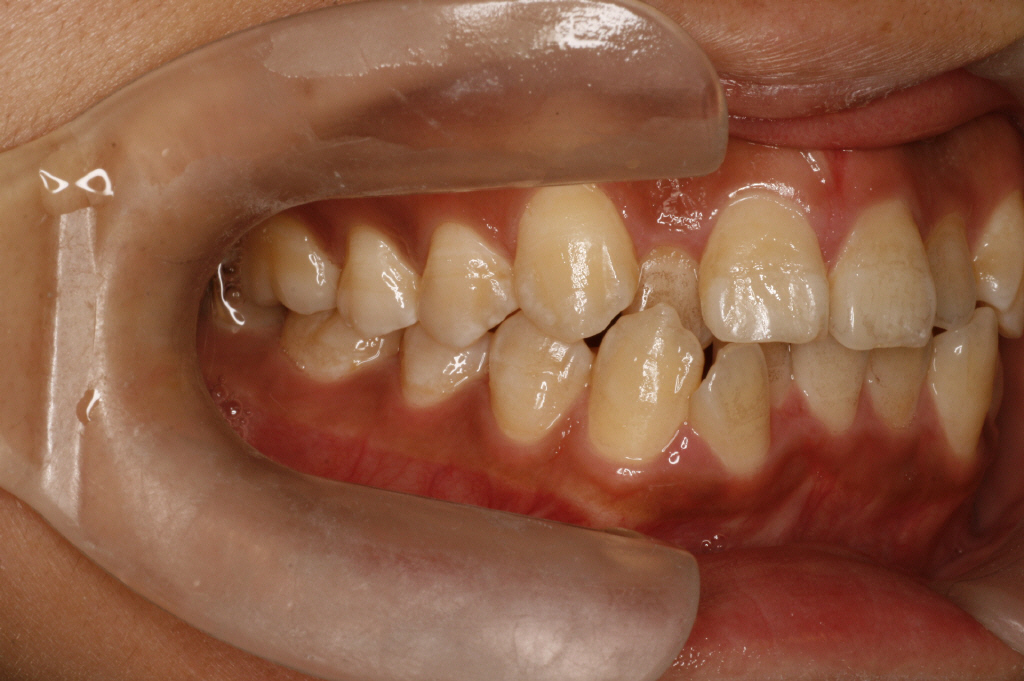
下の前歯に叢生があるので、スペース確保のため、再度IPRをしました。
上の歯を基準にして見ると下の正中が右にずれているので、右下の叢生が残っている歯を中に入れながら正中を合わせます。
2回目は全部で20個で5ヵ月かかりました。
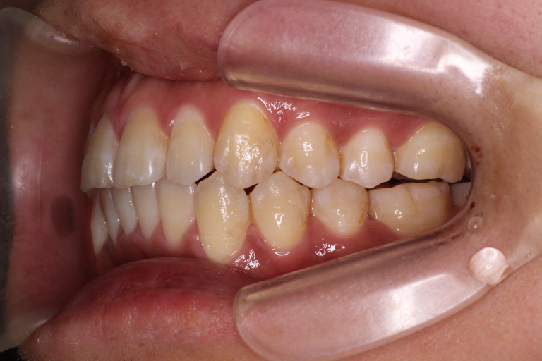
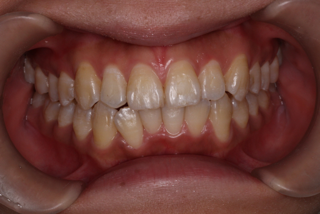
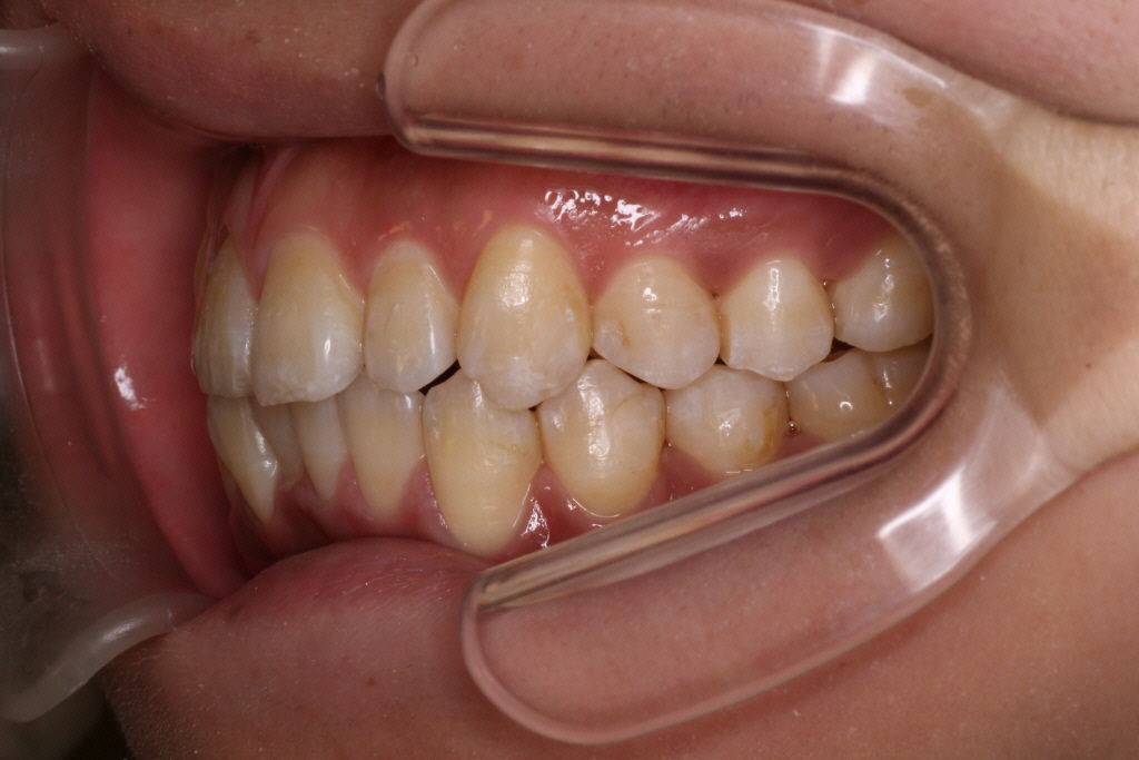
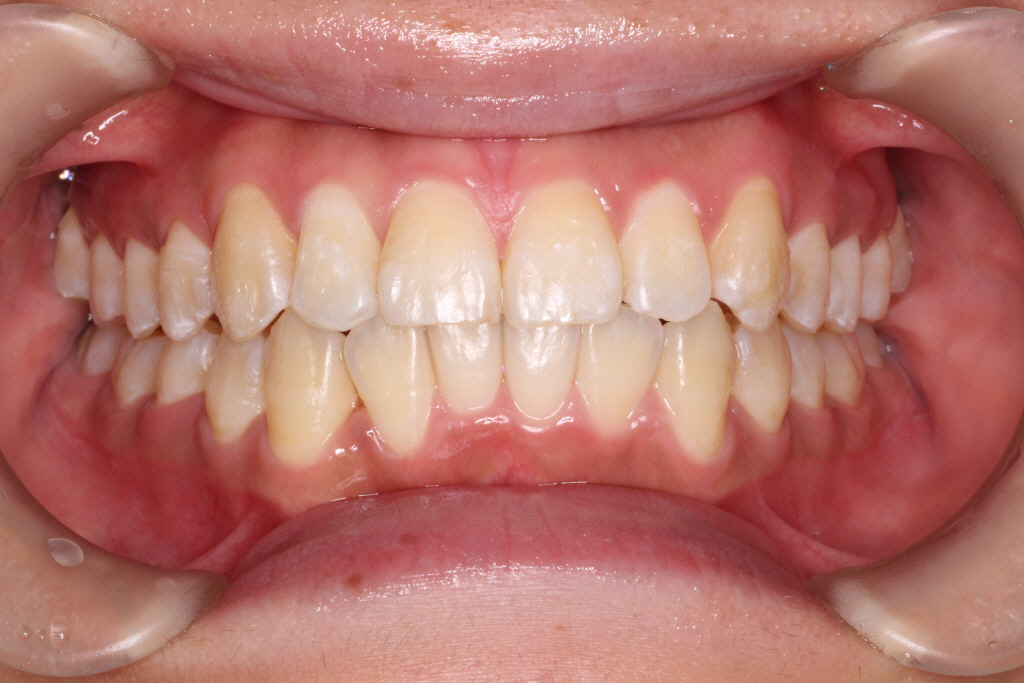
2回目が終わった時の写真です。





正中が合い、下の前歯のがたつきもほぼなくなったことがわかります。
しかし奥歯の噛み合わせをもう少し噛ませたいので、もう一度リファイメントを行いました。
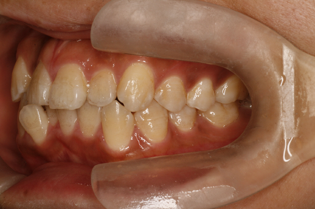
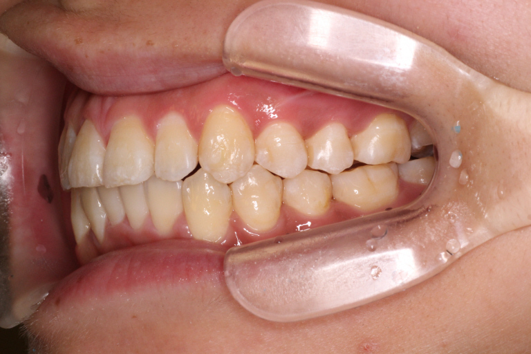
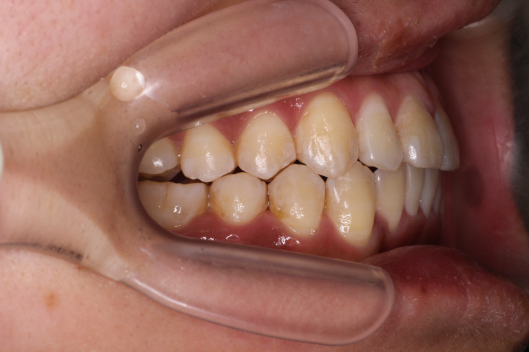
奥歯を噛ませるために、歯に透明なボタンをつけて1日中ゴムをかけてもらいました。
下がゴムをかけていた時の写真です。


3回目は全部で16個で期間は7ヵ月かかりました。
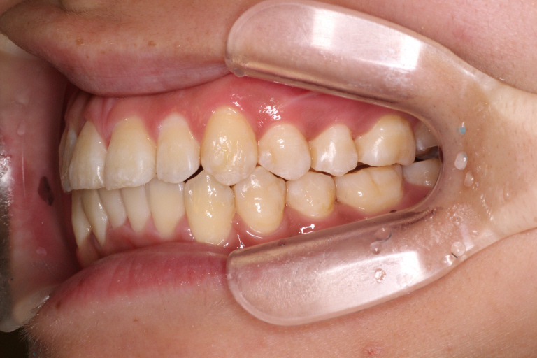
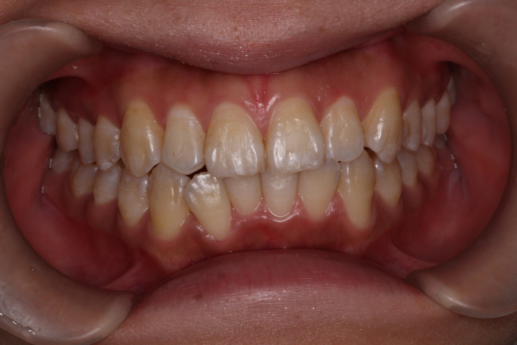
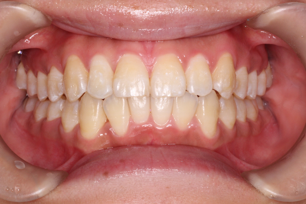
2回のリファイメントを終え、矯正にかかった期間は2年4ヵ月です。
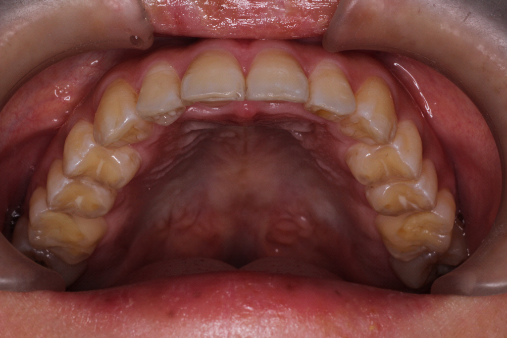
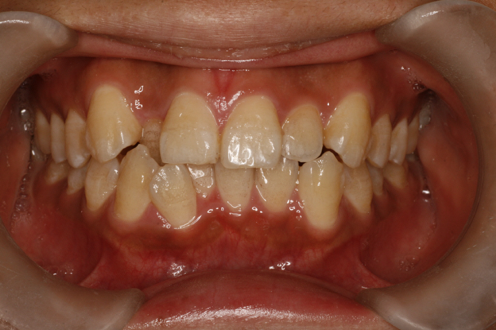
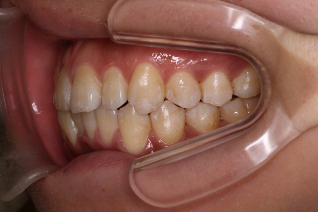
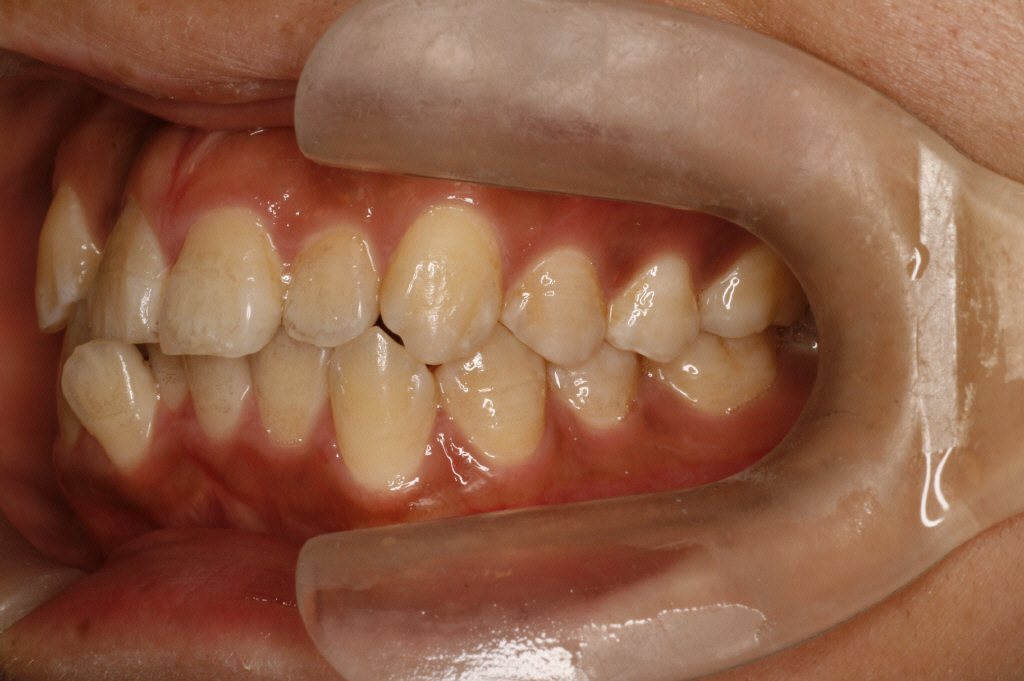
下の写真が矯正が終わった時の写真です。





F様には噛み合わせがきれいになってとても喜んでいただきました。
噛み合わせが気になる方、また目立ちにくいマウスピースがご希望の方はぜひ無料相談にお越しください。
TEL0566-73-0311
https://gototatsuya.com/contact/
矯正料金
検査料:40000円(税抜き)
基本施術料:700000円(税抜き)
保定料:40000円(税抜き)
調整料:4000円(税抜き)
矯正治療のリスク・デメリットについて
・矯正調整後、歯の痛みが生じることがあります。基本的には一時的なものなので数日で慣れてきます。
・歯肉、頬及び唇に、矯正装置による擦り傷または痛みが生じる場合があります。当院では痛みを軽減できるワックスを渡しています。
・患者様が飲食後適切に歯磨及びフロス等の補助器具を行なわなかった場合、 虫歯・歯周病・歯肉炎・脱灰等が生じる可能性があります。当院では矯正の途中で虫歯ができた場合他院様を紹介させていただきます。
・矯正装置装着により一時的に発音に影響を与える場合があります。
・咬合状態が治療過程全体を通して変化する場合があり、結果として患者様に一時的な不快感を与える可能性があります。
・矯正治療の最終段階で、咬合調整が必要となる場合があります。
・長期間にわたって重なっていた歯は、歯間接触下部の歯肉組織が失われている場合があり、歯列矯正を行うことで、「ブラックトライアングル」が発生する可能性があります。
・矯正治療中、歯根の長さが短くなる場合がありますが、臨床的に問題ないことがほとんどです。
・矯正中、歯の移動に伴い稀に歯の神経が壊死することがあります。その際歯内治療もしくは追加的な補綴修復処置等の追加的な歯科治療が必要となる可能性があります。
・稀に、治療中または治療後、顎関節に問題が生じる場合があり、それによって関節痛、頭痛または耳の障害が生じる場合があります。これらの症状と矯正治療との関係ははっきりしていません。
・稀に、金属・レジン等にアレルギー反応が発現する場合があります。
リスク・デメリットを列挙しましたが、必ず起きるわけではありません。








