こんにちは。
今回のブログは、カリエールモーションを併用したマウスピース型カスタムメイド矯正装置(以下インビザライン)症例をお見せしたいと思います。
患者W様は、14歳女の子です。
主訴は歯がでこぼこしていることでした。
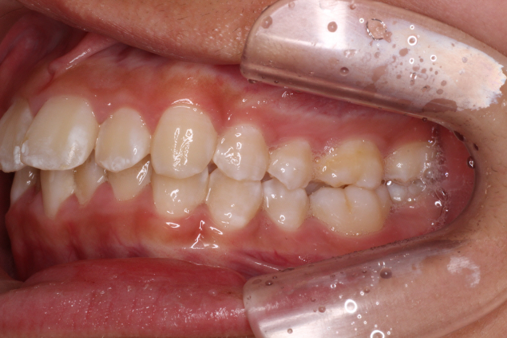
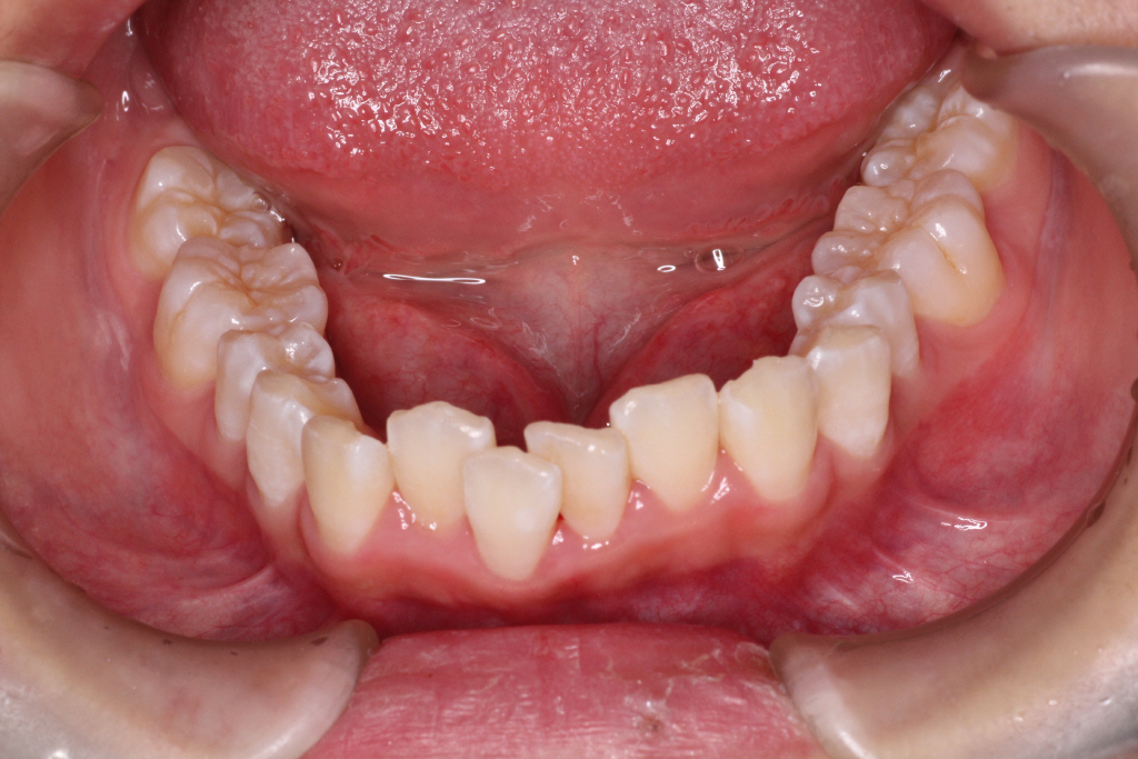
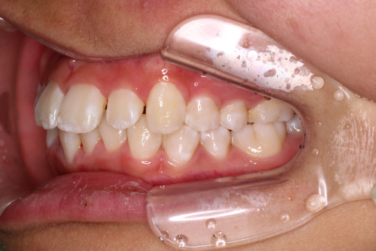
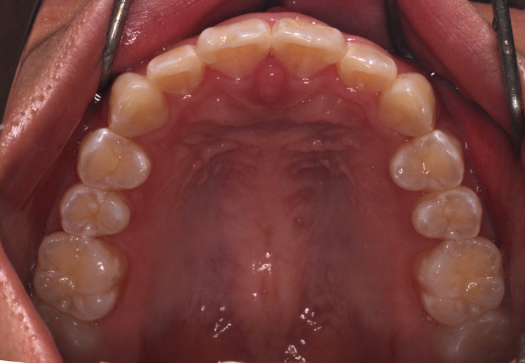
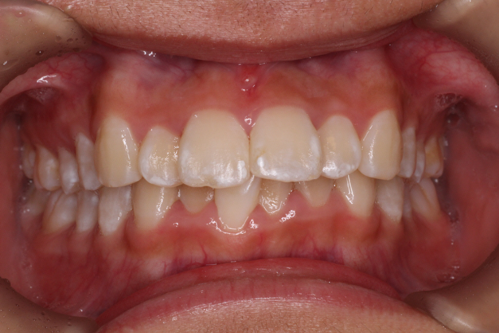
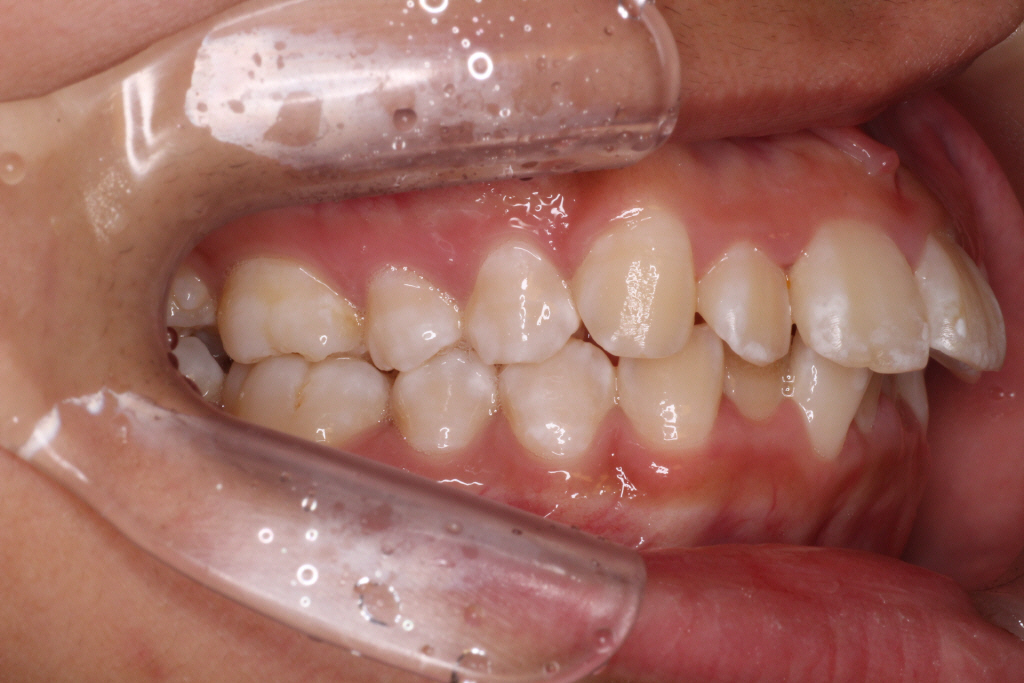
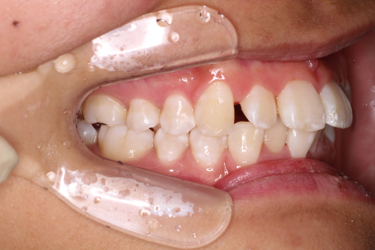
初診時の写真です。





前歯にはがたつき(叢生)がみられ、奥歯は上の歯と下の歯が1歯対1歯で噛んでいることがわかります。
つまり出っ歯の噛み合わせです。
診断:上顎前突・前歯部叢生
上の奥歯を後ろに下げる(遠心移動)必要があります。
その遠心移動させる装置がカリエールモーションです。
インビザラインをスタートする前にカリエールモーションを6か月やってもらいました。
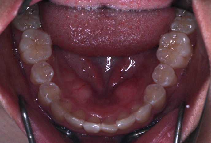
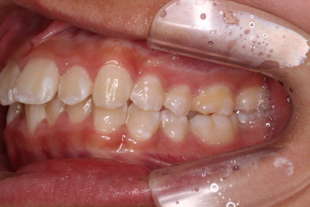
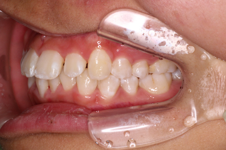
カリエールモーションが終わった時の口腔内写真です。





上の奥歯が後ろに下がったおかげで前歯には隙間ができています。
左の噛み合わせを見ると下の歯と歯の間に上の歯が入り込んでいることがわかります。
1歯対2歯の関係です。
右の噛み合わせを見ると左の噛み合わせより少し多めに奥歯を後ろに下げていることがわかります。
オーバーコレクションといって少し戻ることを想定して多めに動かしておくことを言います。
この後インビザラインスタートです。
アライナー数(マウスピース数)は全部で21個。
1アライナーを1週間ずつ交換していきます。
この時、重要なのが上下マウスピースに変わってもカリエールモーションをやっていた時同様ゴムがけを20時間やってもらったことです。
カリエールモーションで強い力でゴムでひっぱっていたのでマウスピース治療の時 後戻りしないようにゴムがけする必要があります。
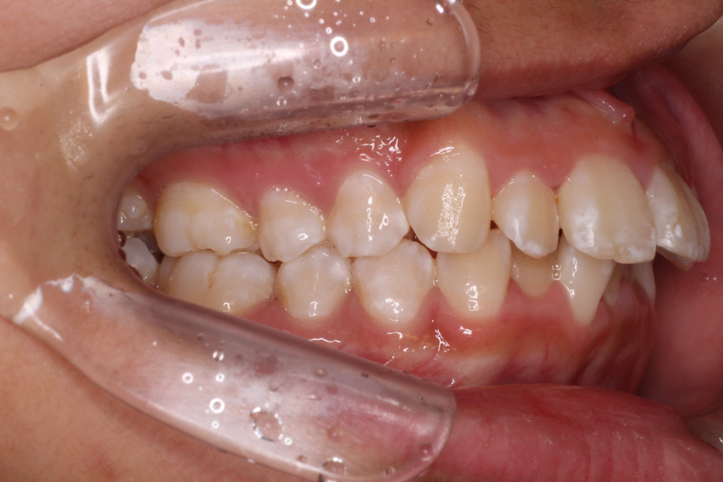
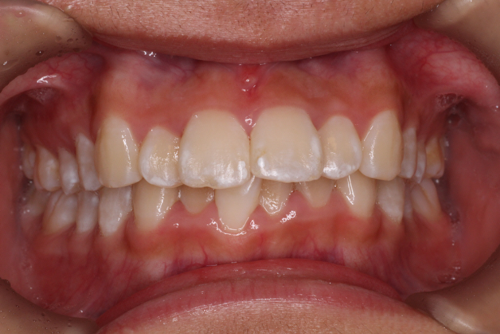
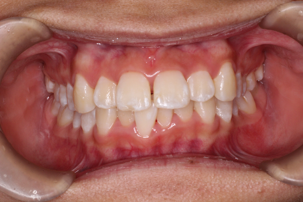
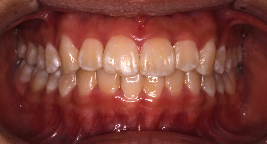
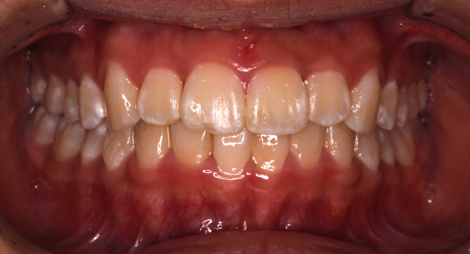
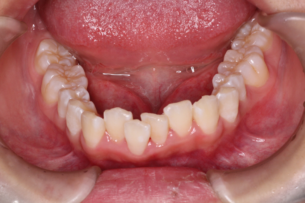
最後のアライナーが終わった時の口腔内写真です。





前歯のがたつきはなくなり、カリエール後にできていた隙間もなくなっています。
奥歯も1歯対2歯の関係で咬めていることがわかります。
通常は歯の並びを微調整するために口腔内を再スキャンし、歯の並びを再設計すること(リファイメント) を2,3回行いますが今回のケースは一回目で満足のいく結果が得られたのでここで保定期間に入りました。
患者様には気にされていた歯のでこぼこがなくなり、喜んでいただきました。
矯正にかかった期間はなんと1年です。
これも患者様がカリエールモーションのゴムかけやマウスピースを20時間以上装着するということを
がんばれたからこその結果です。
歯並びを治すのは治したいという気持ちがとても大事になってきます。
歯並びが気になっている方、今治したいと思っている方ぜひ一度相談にお越しください。
治したいと思っているときがやり時です。
TEL0566-73-0311
矯正料金
検査料:40000円(税抜き)
基本施術料:700000円(税抜き)
保定料:40000円(税抜き)
調整料:4000円(税抜き)
リスク・デメリットについて
・矯正調整後、歯の痛みが生じることがあります。基本的には一時的なものなので数日で慣れてきます。
・歯肉、頬及び唇に、矯正装置による擦り傷または痛みが生じる場合があります。当院では痛みを軽減できるワックスを渡しています。
・患者様が飲食後適切に歯磨及びフロス等の補助器具を行なわなかった場合、 虫歯・歯周病・歯肉炎・脱灰等が生じる可能性があります。当院では矯正の途中で虫歯ができた場合他院様を紹介させていただきます。
・矯正装置装着により一時的に発音に影響を与える場合があります。
・咬合状態が治療過程全体を通して変化する場合があり、結果として患者様に一時的な不快感を与える可能性があります。
・矯正治療の最終段階で、咬合調整が必要となる場合があります。
・長期間にわたって重なっていた歯は、歯間接触下部の歯肉組織が失われている場合があり、歯列矯正を行うことで、「ブラックトライアングル」が発生する可能性があります。
・矯正治療中、歯根の長さが短くなる場合がありますが、臨床的に問題ないことがほとんどです。
・矯正中、歯の移動に伴い稀に歯の神経が壊死することがあります。その際歯内治療もしくは追加的な補綴修復処置等の追加的な歯科治療が必要となる可能性があります。
・稀に、治療中または治療後、顎関節に問題が生じる場合があり、それによって関節痛、頭痛または耳の障害が生じる場合があります。これらの症状と矯正治療との関係ははっきりしていません。
・稀に、金属・レジン等にアレルギー反応が発現する場合があります。








