今回のブログは子供の矯正でカリエールモーションを使った症例をお見せします。
患者Yちゃんは、9歳女の子です。
主訴は、歯のがたつきでした。
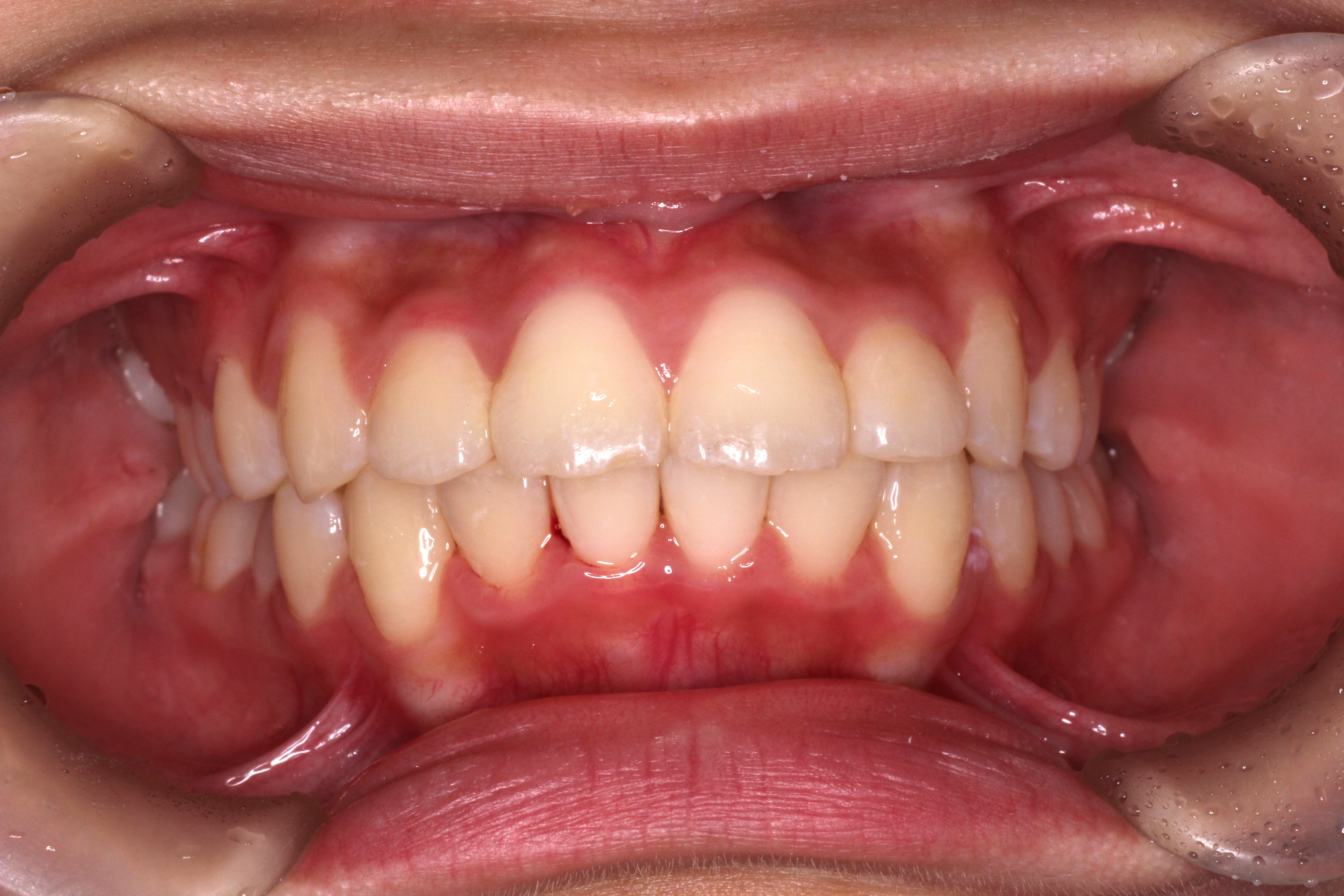
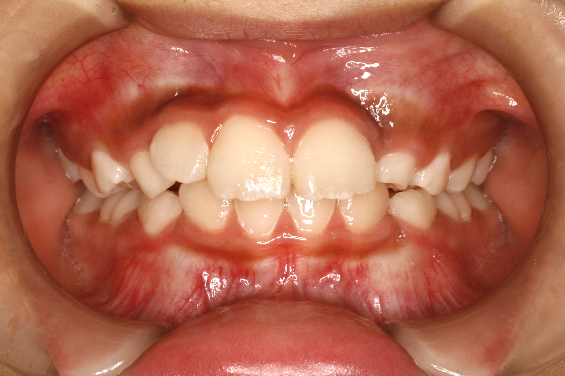
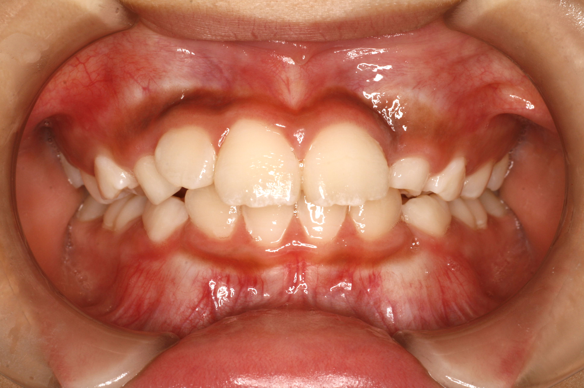
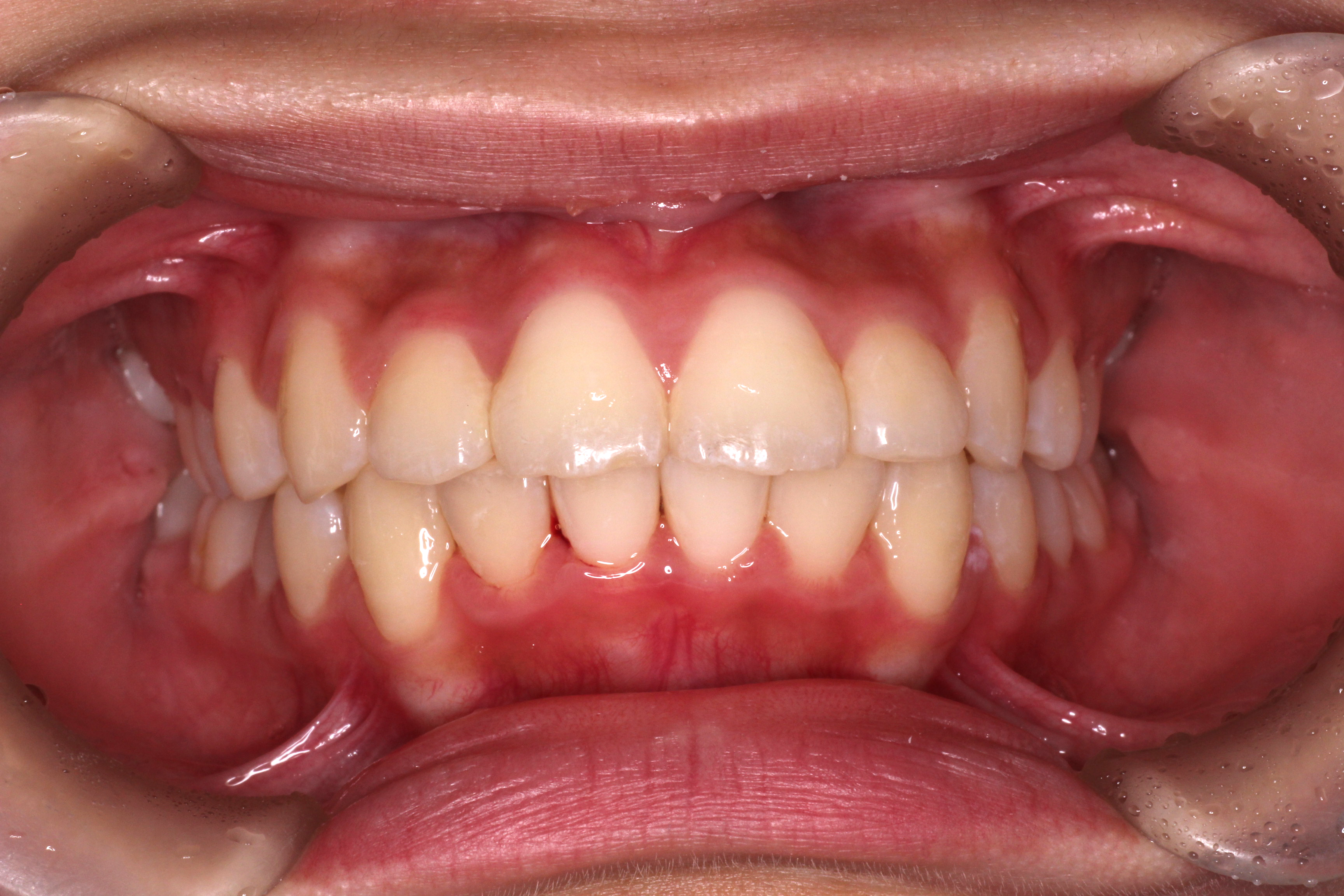
初診時の写真です。





初診時の写真を見ると、左上2番目の歯と下の歯左右3番目の歯(犬歯)が入るスペースがありません。
診断:上顎前突・前歯部叢生
そのスペースを確保するために上顎はLA(リンガルアーチ)という装置を使います。
LAの写真です。↓
※この患者様の口腔内写真ではありません。

上の前歯の1本中に入っている歯を唇側に出すために、
上の歯の3番目に生えている乳歯を抜いて、空いたスペースにむかって
リンガルアーチを1ヵ月に1回来院していただき約6ヵ月かけて唇側に出していきます。
LAと併用して下顎の犬歯の萌出スペース確保の為に拡大床という取り外し式の装置を使います。
拡大床の写真です。↓

拡大床は、寝る時とお家にいる時に着けてもらいます。
拡大床は子供の歯が永久歯に生え変わるまで使います。
左上の2番目の歯が出たところで、八重歯(3番目)の萌出スペースがないので、
そのスペースを確保するために、上顎の奥歯を遠心(後ろ)に移動させます。
当時遠心移動装置はHGが一番有効な装置だったためHG(ヘッドギア)という装置を使いました。
上顎の前から6番目の歯にバンドをつけて、寝る時に装置をつけて使用します。
HGの写真です。↓


HGは装置が大きいのと、寝る時しか使わないので、動くのに時間がかかります。
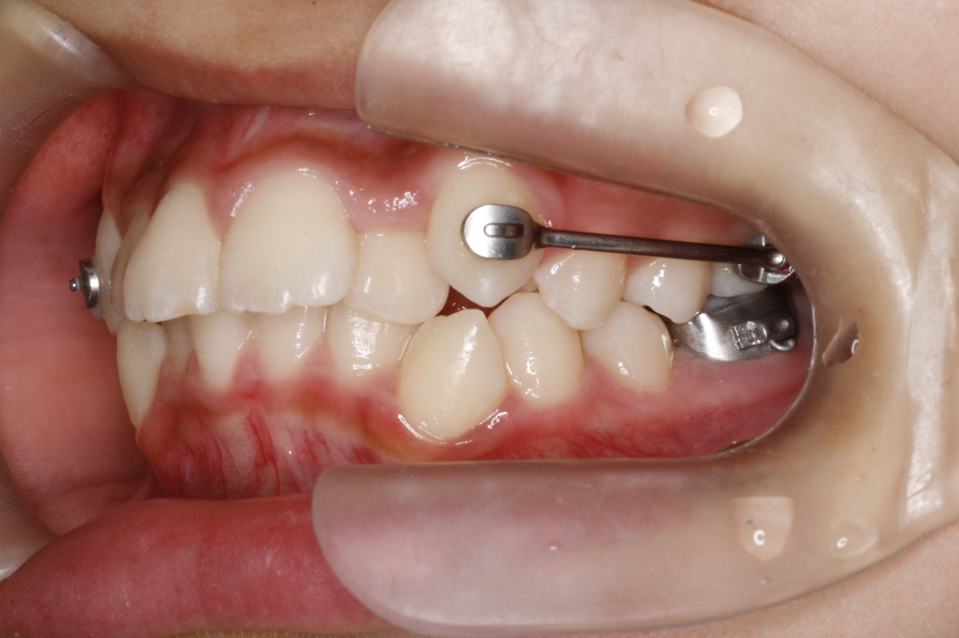
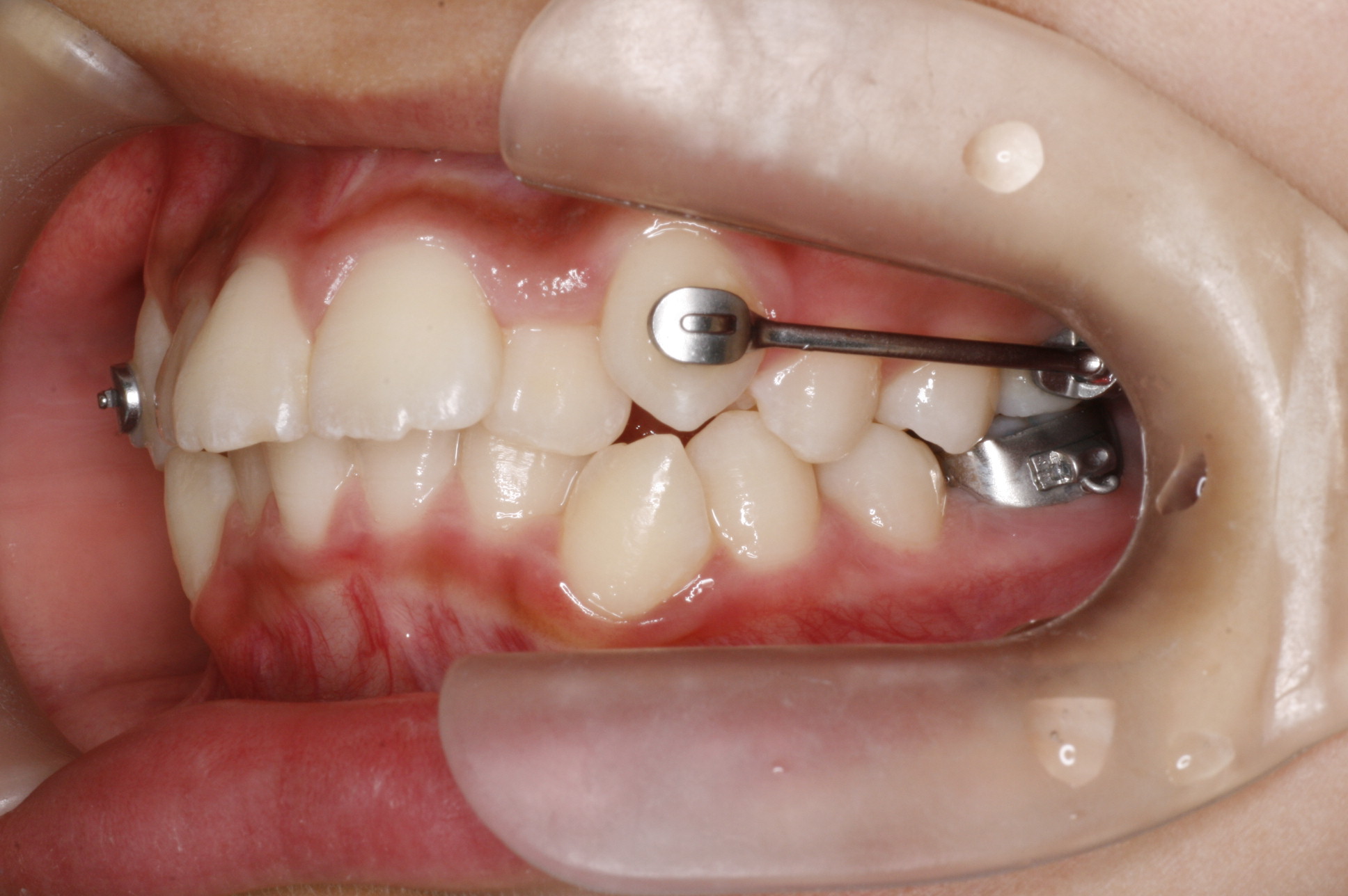
カリエールモーションという新しい装置がでたので、HGからカリエールモーションに装置を変更しました。
こちらの装置は20時間以上、食事と歯磨き以外はゴムをつけてもらいます。
ゴムをしっかりやってもらえば、約6ヵ月で遠心移動ができます。
CMの写真です。↓


5ヵ月後の口腔内写真です。↓


八重歯(3番目の歯)の萌出スペースの確保ができたのでCMをはずします。
上下マルチブラケットに変更し、最後の調整を行いました。
期間はカリエールから1年8ヵ月かかりました。
矯正が終わった時の写真です。↓





HGからカリエールに装置を変更していなかったらもっと期間がかかっていました。
Yちゃんはがたつきが治ったと、とても喜んでいました。
今回は子供の矯正について説明してきました。
今回のように八重歯の入るスペースが全くなくても歯を抜かずに治療できる場合もあります。
患者様によって治療方法、使う装置、期間等様々です。
お子様の歯並びが気になる方、矯正を考えていらしゃる方は
ぜひ無料相談にお越しください。
TEL0566-73-0311
https://gototatsuya.com/contact/
矯正料金
検査料:40000円(税抜き)
基本施術料:300000円(税抜き)
保定料:40000円(税抜き)
調整料:4000円(税抜き)
リスク・デメリットについて
・矯正調整後、歯の痛みが生じることがあります。基本的には一時的なものなので数日で慣れてきます。
・歯肉、頬及び唇に、矯正装置による擦り傷または痛みが生じる場合があります。当院では痛みを軽減できるワックスを渡しています。
・患者様が飲食後適切に歯磨及びフロス等の補助器具を行なわなかった場合、 虫歯・歯周病・歯肉炎・脱灰等が生じる可能性があります。当院では矯正の途中で虫歯ができた場合他院様を紹介させていただきます。
・矯正装置装着により一時的に発音に影響を与える場合があります。
・咬合状態が治療過程全体を通して変化する場合があり、結果として患者様に一時的な不快感を与える可能性があります。
・矯正治療の最終段階で、咬合調整が必要となる場合があります。
・長期間にわたって重なっていた歯は、歯間接触下部の歯肉組織が失われている場合があり、歯列矯正を行うことで、「ブラックトライアングル」が発生する可能性があります。
・矯正治療中、歯根の長さが短くなる場合がありますが、臨床的に問題ないことがほとんどです。
・矯正中、歯の移動に伴い稀に歯の神経が壊死することがあります。その際歯内治療もしくは追加的な補綴修復処置等の追加的な歯科治療が必要となる可能性があります。
・稀に、治療中または治療後、顎関節に問題が生じる場合があり、それによって関節痛、頭痛または耳の障害が生じる場合があります。これらの症状と矯正治療との関係ははっきりしていません。
・稀に、金属・レジン等にアレルギー反応が発現する場合があります。








