こんにちは![]()
前回、プレッシャーポイントを説明した際にディープバイトの話を交えながらお話しさせていただきました。
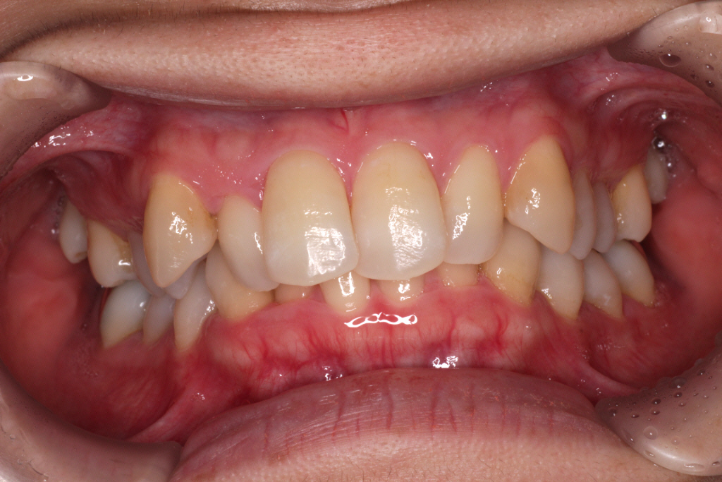
今回はディープバイト(過蓋咬合)の治し方をもう少し詳しく説明していきます。![]()
過蓋咬合とは、噛み合わせが深く、下の前歯が上の前歯で隠れて見えない状態のことを言います。
過蓋咬合の原因は、上顎が下顎に覆い被さるくらい上顎と下顎の大きさが違ったり、
奥歯の噛み合わせが悪くて起こることもあります。![]()
過蓋咬合は、下顎が後方に押させるので、顎関節が窮屈になり、
顎関節症を引き起こすこともあります。
また噛み合わせが深いと下の前歯が上顎の前歯の裏側の歯茎に噛み込んできて
歯肉炎を引き起こすこともあります。
過蓋咬合は、治療すべき歯並びと言えます![]()
過蓋咬合を治すためには、奥歯の挺出(歯を骨から引っ張る)と前歯の圧下(歯を骨の中に押し込む)が必要になります。
前歯の圧下は前回説明したパワーリッジ機能とプレッシャーポイント機能が役に立ちます。
奥歯の挺出には、バイトランプが役に立ちます。
バイトランプとは、上顎アライナー(マウスピース)の前歯の裏側にあるでっぱりのことです。(下図)
歯には何も施しません。
アライナーだけがボコッと出ています。
そこに下の前歯があたることで奥歯の噛み合わせを浮かせることができます。
イメージは、噛んだ状態で下顎を少し前に出してみてください。
前歯だけがあたって、奥歯は浮いていますよね?
その状態をアライナーを装着して作り出すのです。
バイトランプがなぜ作られたのか。
人は口を閉じている時、奥歯は噛まずほんの少しだけ開いているのが理想です。
しかしほとんどの方が普段から上下の奥歯があたっていて噛みしめています。![]()
そういう方がアライナーを装着するとアライナーに厚みがある分さらに奥歯では強い噛みしめが起こります。
そうすると、噛む力の方が強すぎてアライナーの厚み分奥歯が離開してしまうのです。
アライナー装着時、前歯があたって奥歯を浮いた状態にすることで、
奥歯は噛む力の影響を受けずに動かすことができます。![]()
このバイトランプのおかげで奥歯の挺出がより行いやすくなりました。![]()
そしてさらに奥歯の挺出をよりしやすくするのがアタッチメントです。
次回はアタッチメントの作用についてお話ししたいと思います。![]()
TEL 0566-73-0311










