こんにちは。
今回のブログも、カリエールモーションを併用したマウスピース型カスタムメイド矯正装置(以下インビザライン)症例をお見せしたいと思います。
患者様は、18歳女性です。
主訴は、歯のでこぼこでした。
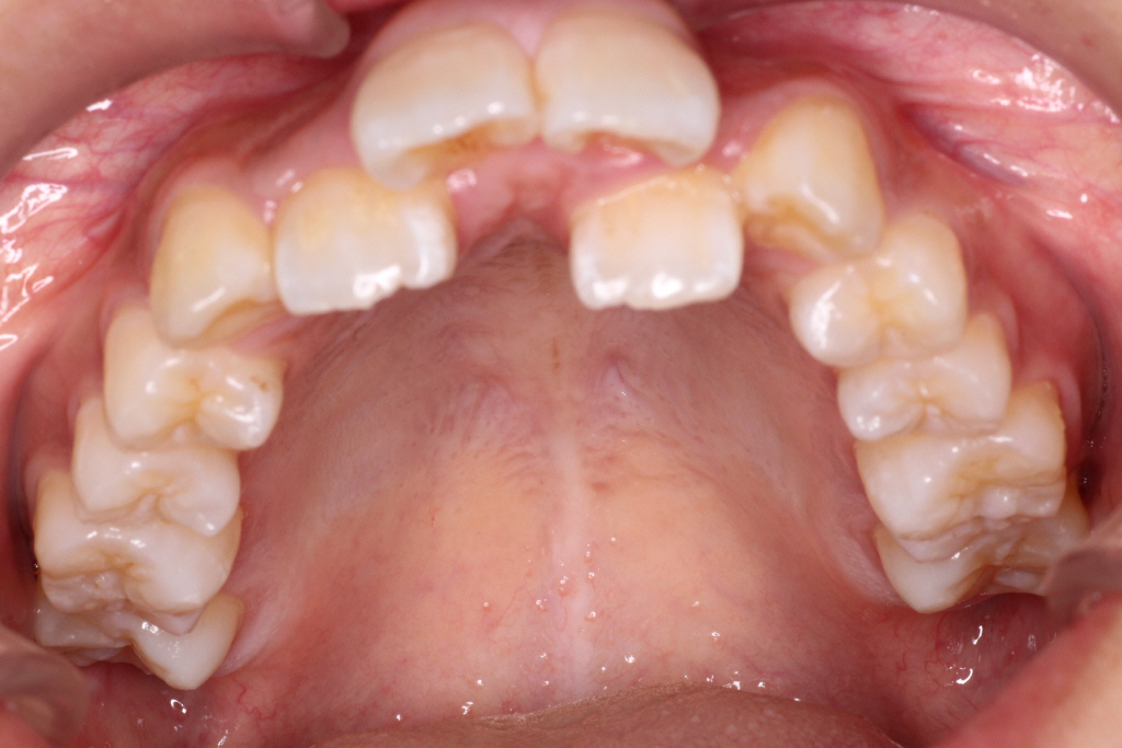
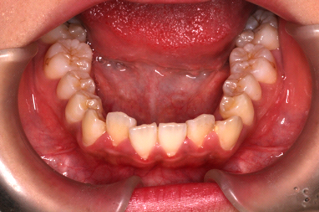
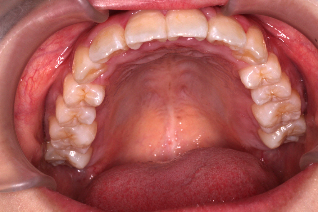
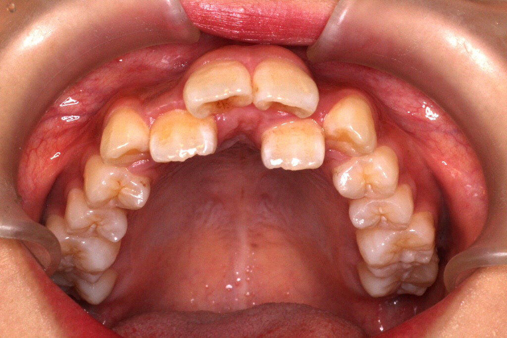
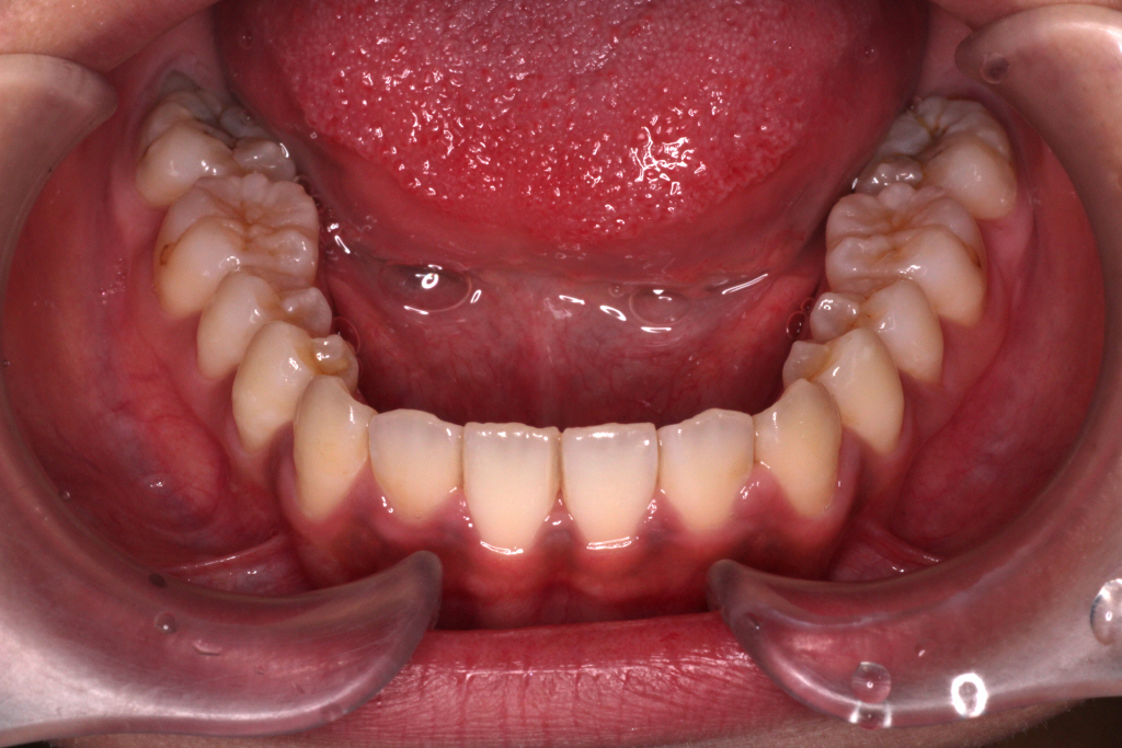
初診時のお口の中の状態です。





上の前から2番目の歯が下の歯列より内側にあり叢生です。
側方の上下の咬合関係が理想の上1本に対して下2本の理想的な噛み合わせではない。
歯列の幅がせまい。
診断:上顎前突・前歯部叢生
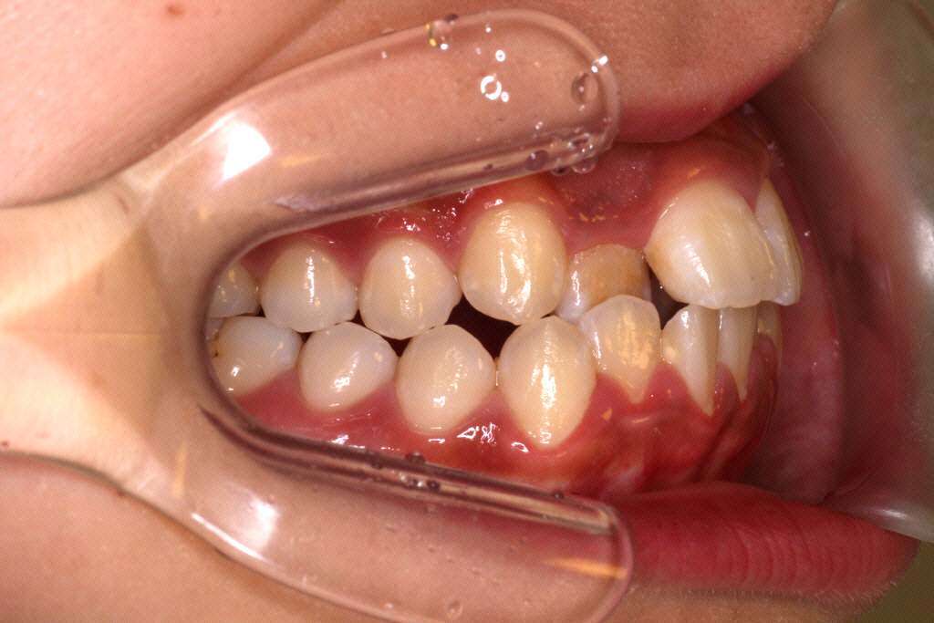
まずは2番目の歯のスペースを確保するために上にカリエールモーションを使います。
下の歯はマウスピースで固定しておきます。
8ヶ月後のお口の中の様子です。↓
様々な理由がありゴムをあまりかけられず、ほとんど動きませんでした。





カリエールモーションはゴムかけしないと、ほとんど意味のない装置です。
(ブログのカリエールモーション症例4をご参照ください。4ヵ月でかなり効果がでています。)
次のステップはカリエールモーションを使わずにインビザラインのマウスピースのみで動かしていくことにしました。
↓上下マウスピースを1週間ずつ使い、
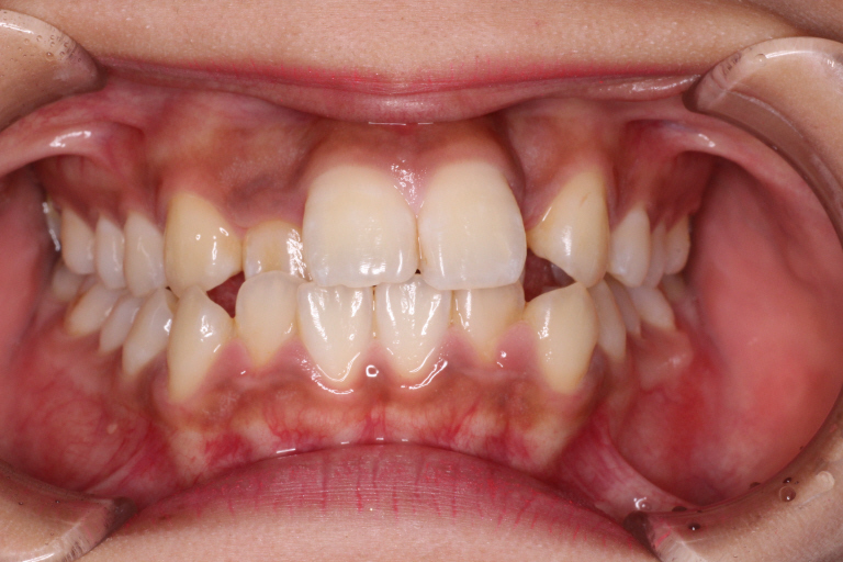
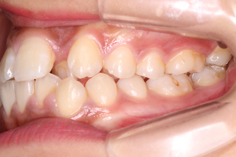
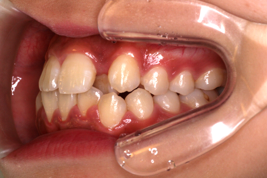
51枚中27枚目くらいでマウスピースが合わなくなった9ヶ月後のお口の中の状態です。
患者さんの左上の1番目と3番目の間に隙間ができてきて、2番目の歯が少し見えるようになりました。





まだまだ並ばせていかないといけないので、リファイメント1回目(マウスピースの作り直し)を行いました。
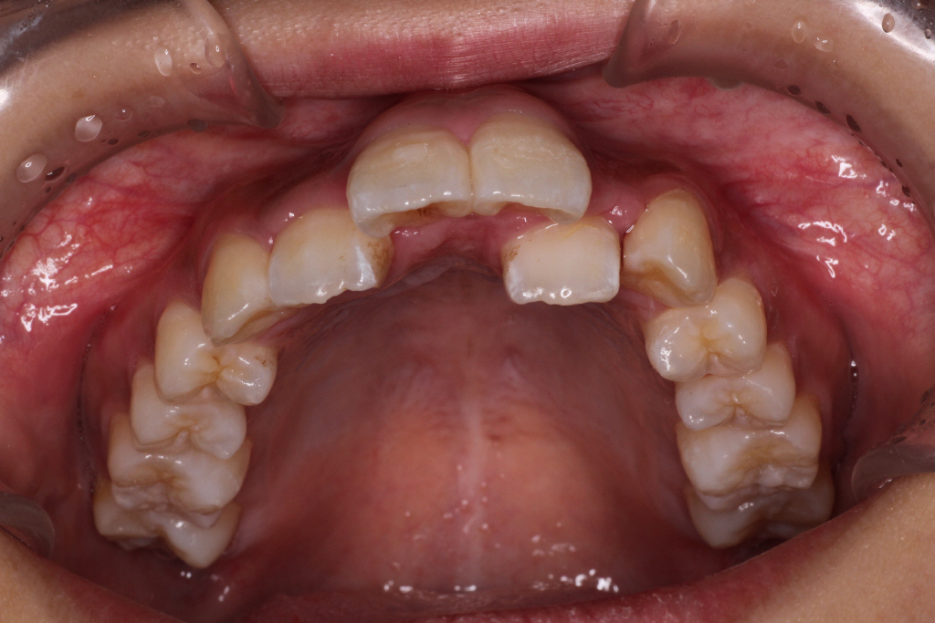
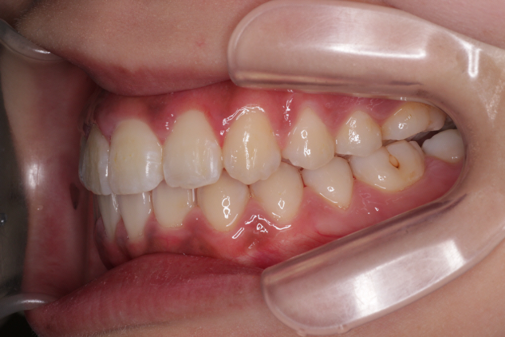
上下マウスピースを37枚最後まで1週間ずつ使い、6ヶ月後のお口の中の状態です。↓





① 左上の2番目の歯が歯列に入っていない
② 右上の2番目の歯が切端咬合と言って上下の歯の先端がぶつかっています。
③ 側方の上下の咬合関係が理想の上1本に対して下2本にはなっていません。
④ 左右の2番目、3番目あたりの噛み合わせがあまく、隙間がある。
このような症状を改善させるために、リファイメント2回目を行いました。
上下マウスピースを1週間ずつ、21枚最後まで使いました。
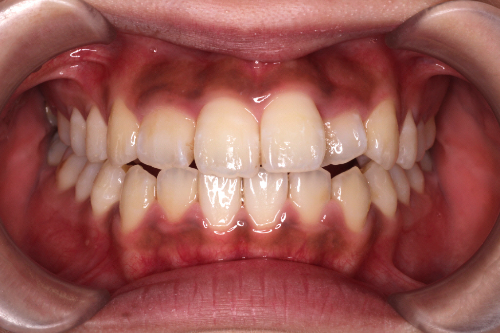
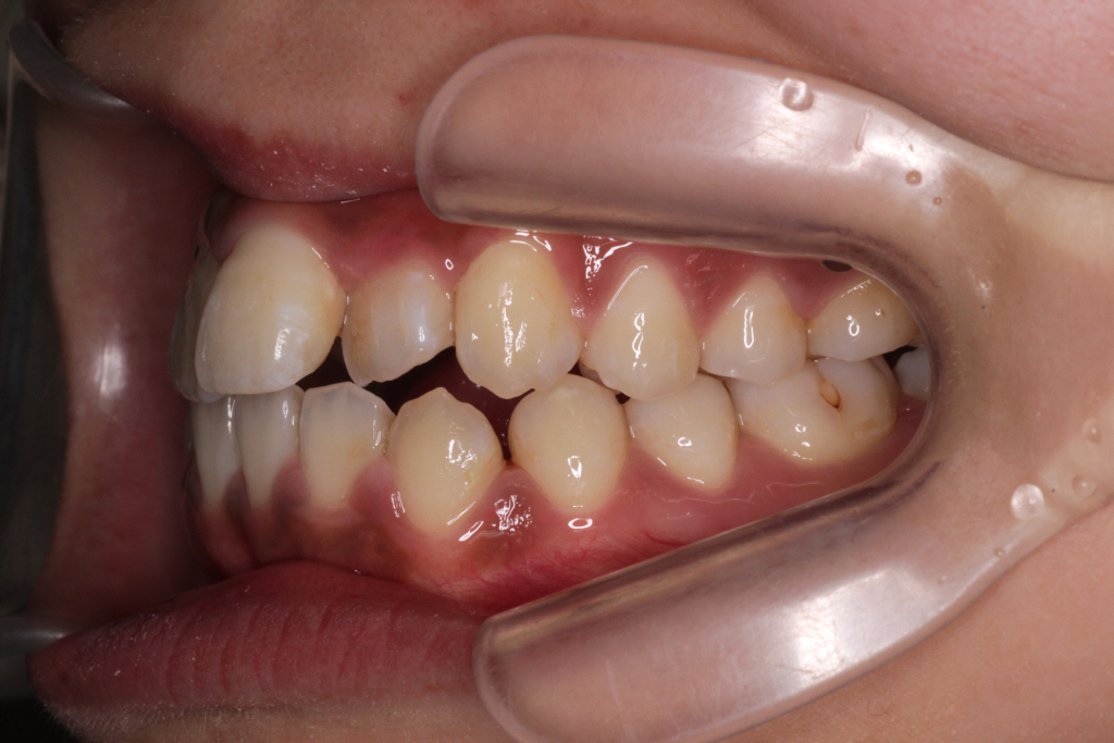
6ヶ月後、今回はだいぶ並んできました。↓





●改善点の結果
① 左上の2番目の歯は歯列に入りましたが、まだ少しねじれています。
② 右上の2番目の歯の切端咬合が、下の歯より上の歯が前方に出て、正常になりました。
③ 側方の噛み合わせが上1本に対して、下2本になりました。きれいに改善されました。
④ 噛み合わせがよくなり隙間がなくなりました。こちらも改善されました。
②~④の症状は解決したので、あとは①を改善するようにリファイメント3回目を行います。
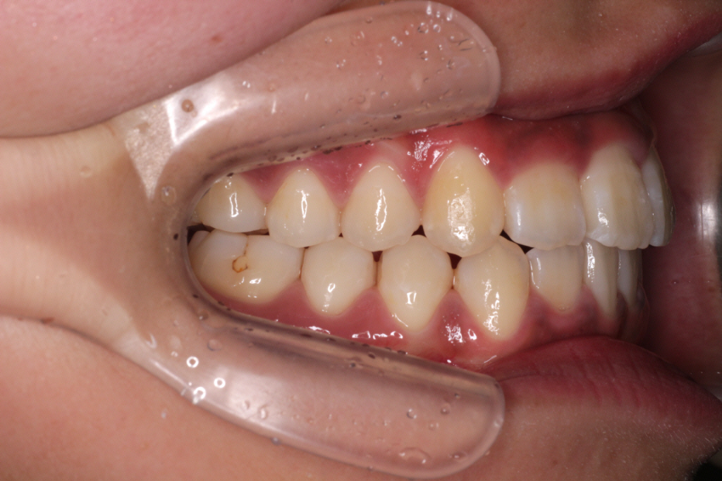
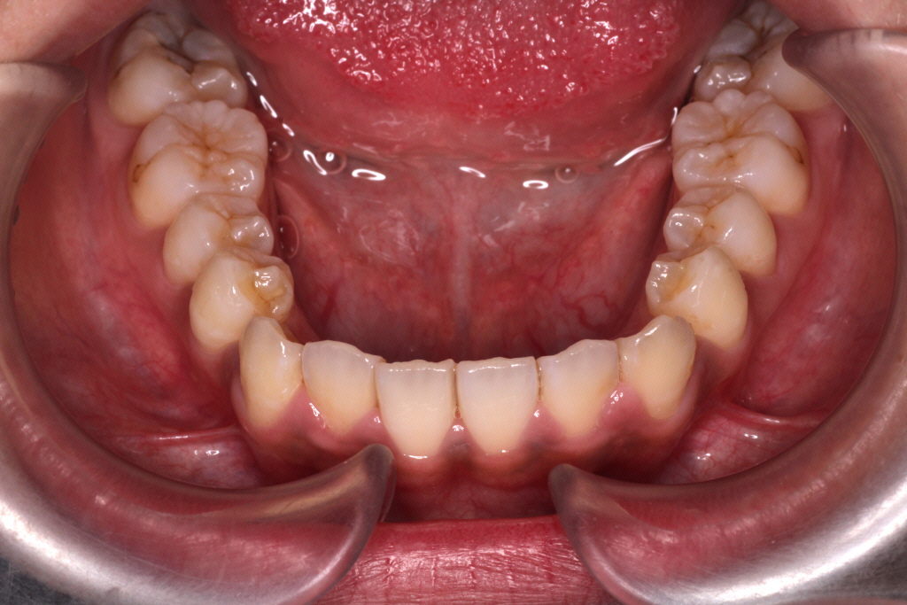
上下マウスピース19枚を1週間ずつ使い、5ヶ月後のお口の中の状態です。↓





●改善点の結果
①ねじれもすっかりきれいになりました。
これでこの方は矯正期間約3年で歯列矯正が終わりました。
カリエールモーションを装着していた時にゴムかけができていれば、もう少し期間を短くできたケースですね。
現在では加速装置も取り入れていますので、さらに期間を縮めることも可能です。
日本人は顎が小さいので、上の2番目の歯が下の歯より舌側にある方は結構います。
それでも矯正すれば治りますので、同じような歯並びでお悩みの方は一度ご相談ください。
0566-77-0311 までお電話ください。
https://gototatsuya.com/contact/
矯正料金
検査料:40000円(税抜き)
基本施術料:700000円(税抜き)
保定料:40000円(税抜き)
調整料:4000円(税抜き)
リスク・デメリットについて
・矯正調整後、歯の痛みが生じることがあります。基本的には一時的なものなので数日で慣れてきます。
・歯肉、頬及び唇に、矯正装置による擦り傷または痛みが生じる場合があります。当院では痛みを軽減できるワックスを渡しています。
・患者様が飲食後適切に歯磨及びフロス等の補助器具を行なわなかった場合、 虫歯・歯周病・歯肉炎・脱灰等が生じる可能性があります。当院では矯正の途中で虫歯ができた場合他院様を紹介させていただきます。
・矯正装置装着により一時的に発音に影響を与える場合があります。
・咬合状態が治療過程全体を通して変化する場合があり、結果として患者様に一時的な不快感を与える可能性があります。
・矯正治療の最終段階で、咬合調整が必要となる場合があります。
・長期間にわたって重なっていた歯は、歯間接触下部の歯肉組織が失われている場合があり、歯列矯正を行うことで、「ブラックトライアングル」が発生する可能性があります。
・矯正治療中、歯根の長さが短くなる場合がありますが、臨床的に問題ないことがほとんどです。
・矯正中、歯の移動に伴い稀に歯の神経が壊死することがあります。その際歯内治療もしくは追加的な補綴修復処置等の追加的な歯科治療が必要となる可能性があります。
・稀に、治療中または治療後、顎関節に問題が生じる場合があり、それによって関節痛、頭痛または耳の障害が生じる場合があります。これらの症状と矯正治療との関係ははっきりしていません。
・稀に、金属・レジン等にアレルギー反応が発現する場合があります。








