こんにちは
私は普段受付の業務をさせて頂いております。(25歳女性)
当院に入社した頃は正直矯正に全く興味がなかったのですが…
たくさんの患者様が綺麗に治っていく姿を見させて頂いている内に
私の出っ歯や歯のがたつきも治したい!(主訴)と思うようになりました。
私は2017年1月から矯正を始め、2018年の8月に矯正治療を無事終える事ができました。
約1年8ヶ月の治療期間でした。
今回のブログはその症例を載せさせて頂きたいと思います。
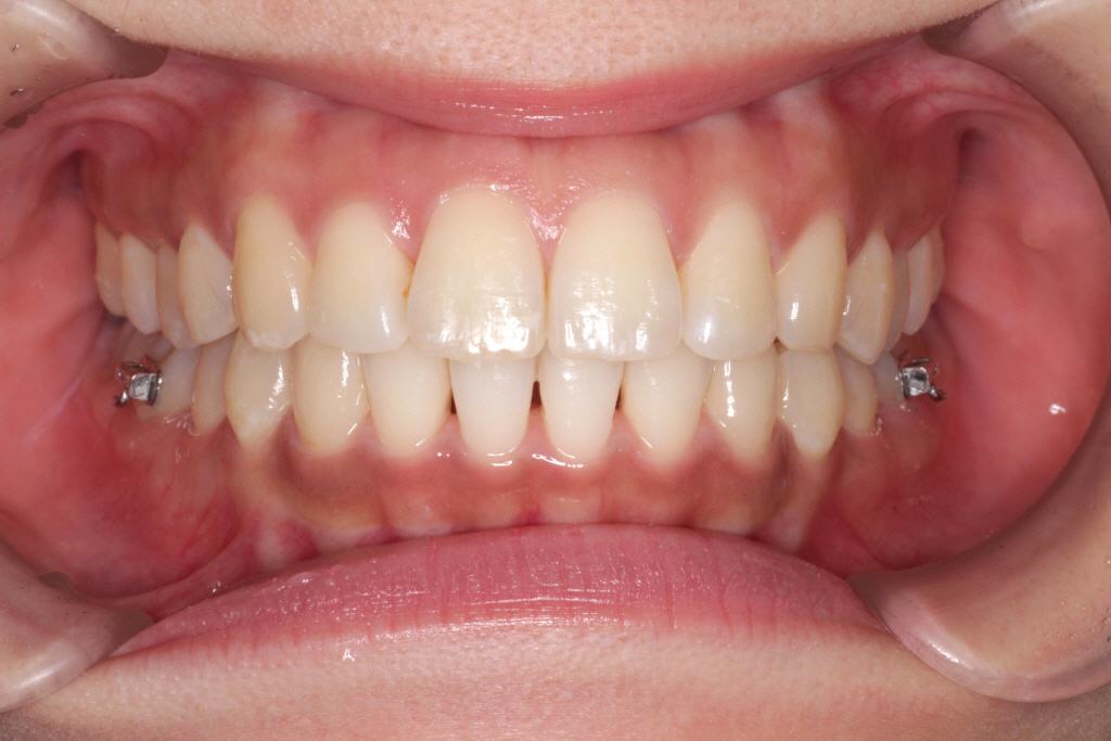
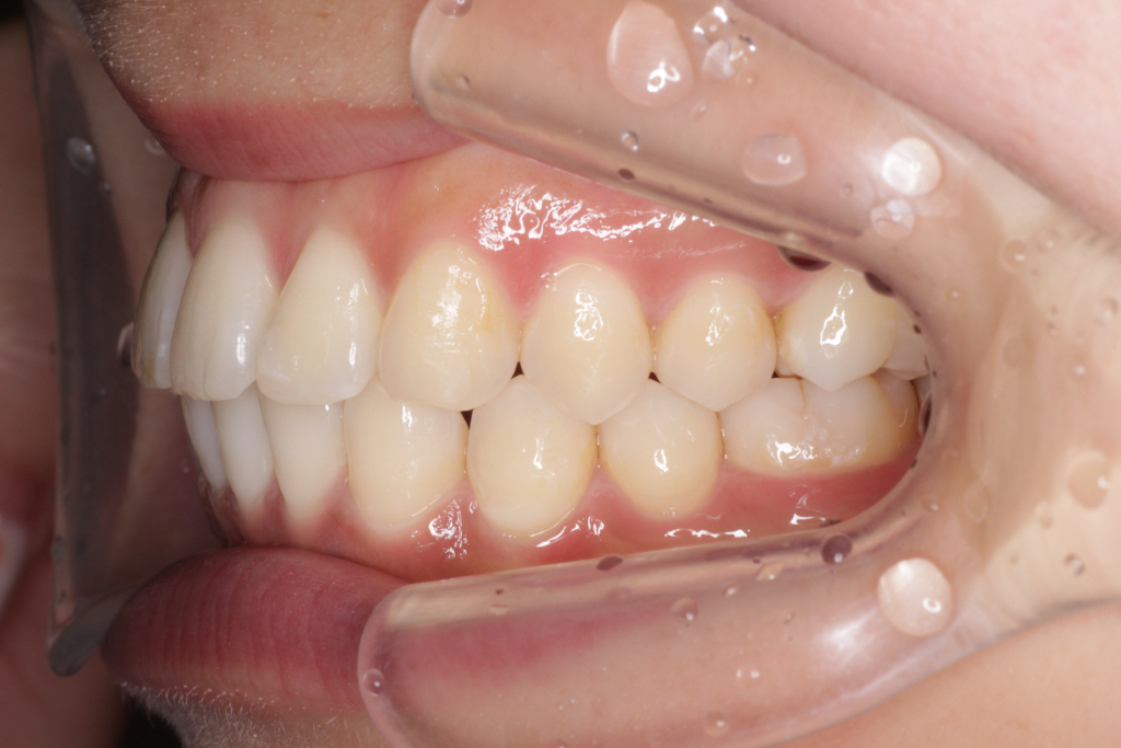
こちらが当初の歯の状態です



見て頂いて分かるように上の前歯が出ているのと、
下の歯のがたつきが目立ちます。
診断:上顎前突・前歯部叢生
出っ歯は舌の癖で前歯を前に押してしまい年々出てきてしまうと聞いた事があったので それも矯正治療を始めたきっかけでした。
元々院長より、カリエールの装置を先につけて上の歯をさげた方が綺麗に並ぶよ。と アドバイスを頂いていたのですが、その当時カリエールの装置はシルバーのタイプで(今は透明な装置に変わりました!)旦那様が笑った時などに装置が少しでも見えるのが 嫌だということでマウスピース型カスタムメイド矯正装置(インビザライン )のみで治療を行うこととなりました。
私はまず、①番と②番のマウスピースを2週間ずつつけ、
その後③のマウスピースにうつる時に歯が入る為のスペースを開ける「IPR」を8箇所行い、
その歯を重点的に力をかけ動かす為に歯に米粒位の大きさの樹脂「アタッチメント」もつけました。
そして、1週間毎の交換で使い続けました。
⑫番のマウスピースにうつる時に再度IPRを2箇所、⑯番で4箇所、
㉕番で2箇所、㉘番で1箇所の計17箇所行いました。
㉙番まで使い終わった後、再度微調整の為新しいマウスピースを作る為の
歯のスキャニング「ITERO」を行いました。
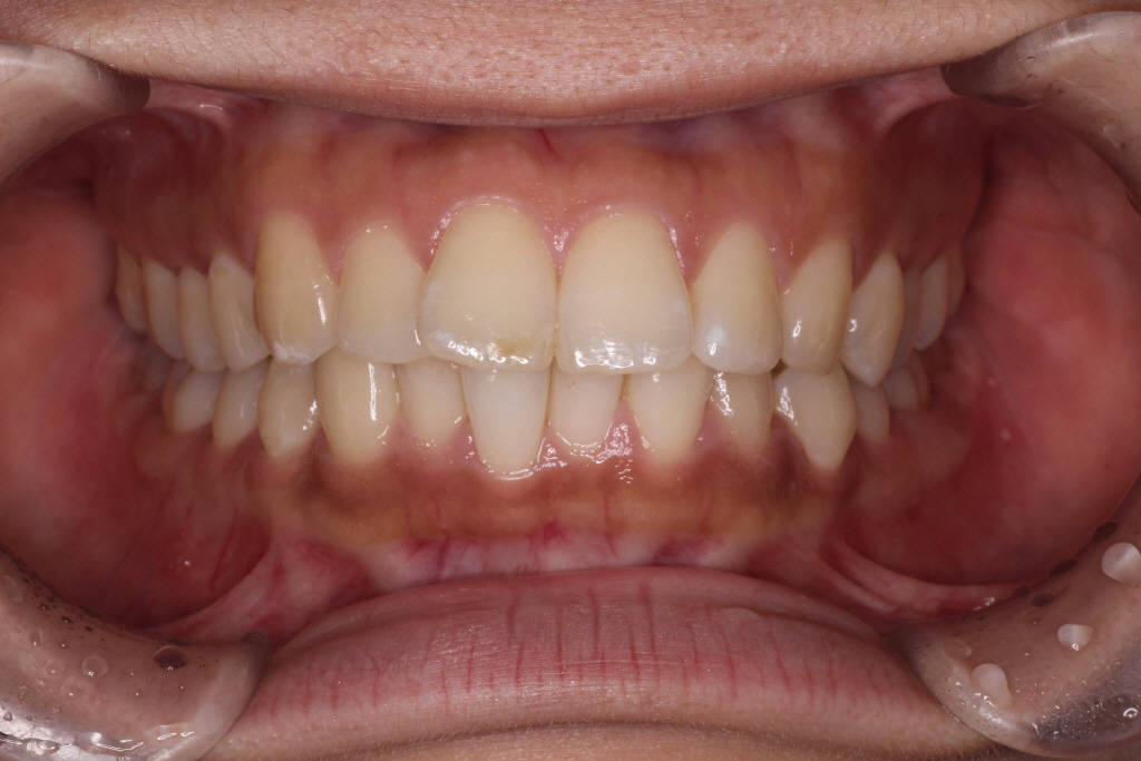
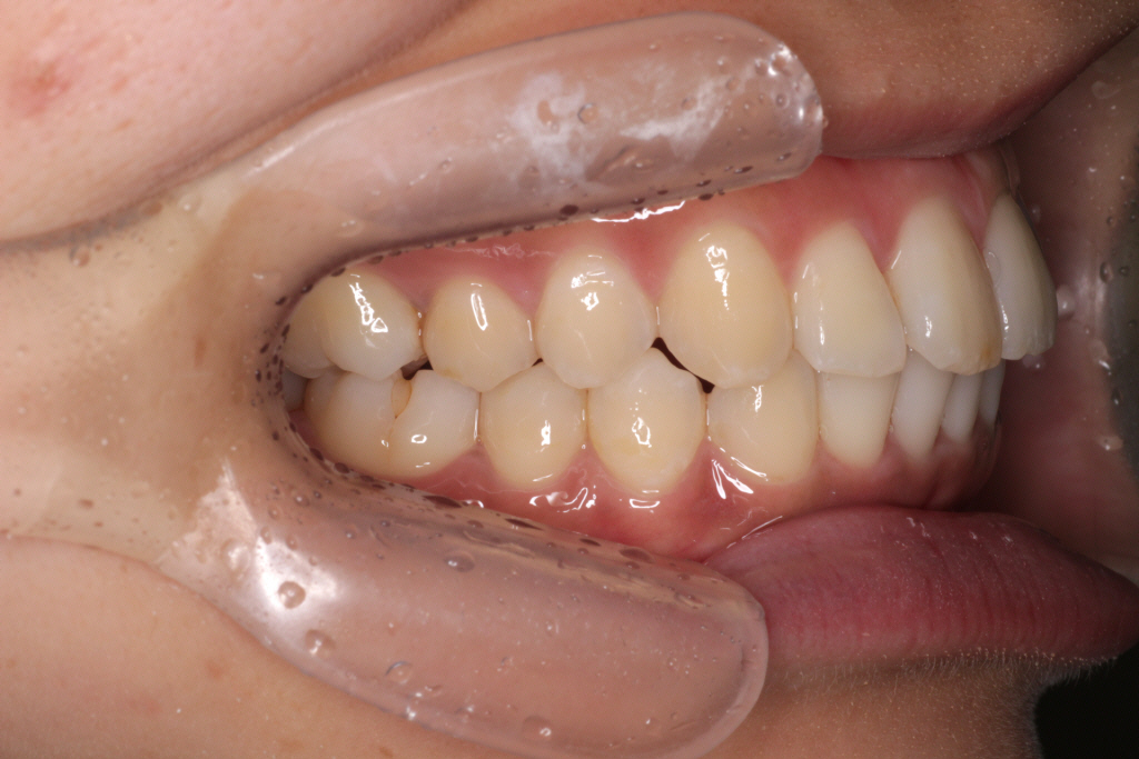
その時の歯並びの状態がこちらです↓



下の歯のがたつきが大分軽減されたのが分かります。
しかし、まだ前歯は出ているように感じます。
この時点で治療を始めて約7ヶ月と2週間が経ちました。
ここまでの治療で歯が動いていく様子を動画にしたものがこちらです
そして、約1ケ月後新しいマウスピースが海外から届いてきました。
マウスピースの数が全部で㉗個あったのでまだこんなにあるのか、と感じたのとこの時から咬み合わせを合わせる為歯が後ろに下がる様ゴムかけをする事になったので少し面倒くさいな、と思ったのを覚えています。(笑)
それでも、歯をきれいに並べる為!とモチベーションを保ち毎日ゴムかけを頑張りました。
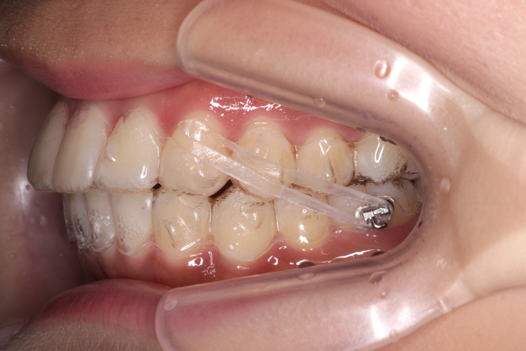
ゴムかけの様子がこちらです↓

毎日ゴムかけをし、㉗番までマウスピースを使い終わった時の写真がこちらです↓



この時点で矯正を始めて約1年2ヶ月が経過しました。
下の歯はほぼ綺麗に並び、上の前歯も大分後ろに下がったのが分かります。
しかし、写真を見て頂いて分かるように右側の前から3番目の歯が2歯対1歯になっていない
つまりまだ出っ歯の噛み合わせである事が分かります。
その為、もうすこし歯を後ろにさげる為再度ITEROを行い
ゴムかけと⑲個のマウスピースを使いました。
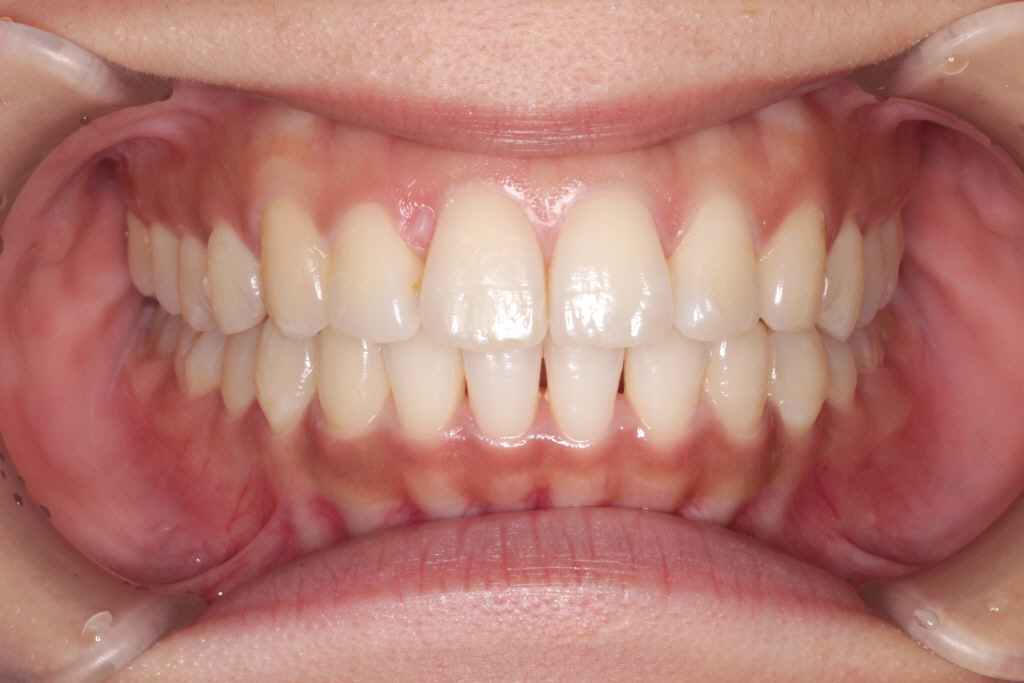
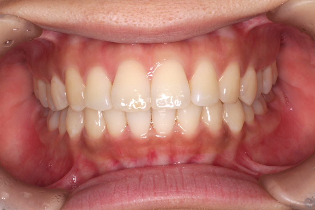
こちらが最終的な歯並びの状態です。↓



まだ歯と歯の間が少し開いている所も数箇所ありますが、
そちらは保定用のマウスピースで少しずつ閉じる事ができるので
それで微調整を行うこととなりました。
今回で一応矯正の区切りはついたのですが、
せっかく治した歯並びが後戻りしてしまうのは残念なので
今後もしばらくは保定用のマウスピースをつけ続けます。
矯正にかかった期間は、1年と9ヶ月でした。
※マウスピースははじめの登録から5年以内であれば何度でもスキャニングをし 作製する事ができます!
今までは出っ歯な事を気にして笑った時に人の目を気にしたり、
また、写真にうつる自分を見て家族にも出っ歯だね、と言われていたのですが
それが改善されてとっても嬉しいです!
あの時矯正を始めて本当によかったなと思います。
始める前は少し勇気がいると思いますが、
私のように終わった時自分の歯並びを見てやってよかったな、と思って頂けたら幸いです。
皆さまも一歩踏み出してみてはいかがですか?
まずはお気軽に無料相談にお越しください。
後藤達也矯正歯科
☎0566-73-0311
https://gototatsuya.com/contact/
矯正料金
検査料:40000円(税抜き)
基本施術料:700000円(税抜き)
保定料:40000円(税抜き)
調整料:4000円(税抜き)
リスク・デメリットについて
・矯正調整後、歯の痛みが生じることがあります。基本的には一時的なものなので数日で慣れてきます。
・歯肉、頬及び唇に、矯正装置による擦り傷または痛みが生じる場合があります。当院では痛みを軽減できるワックスを渡しています。
・患者様が飲食後適切に歯磨及びフロス等の補助器具を行なわなかった場合、 虫歯・歯周病・歯肉炎・脱灰等が生じる可能性があります。当院では矯正の途中で虫歯ができた場合他院様を紹介させていただきます。
・矯正装置装着により一時的に発音に影響を与える場合があります。
・咬合状態が治療過程全体を通して変化する場合があり、結果として患者様に一時的な不快感を与える可能性があります。
・矯正治療の最終段階で、咬合調整が必要となる場合があります。
・長期間にわたって重なっていた歯は、歯間接触下部の歯肉組織が失われている場合があり、歯列矯正を行うことで、「ブラックトライアングル」が発生する可能性があります。
・矯正治療中、歯根の長さが短くなる場合がありますが、臨床的に問題ないことがほとんどです。
・矯正中、歯の移動に伴い稀に歯の神経が壊死することがあります。その際歯内治療もしくは追加的な補綴修復処置等の追加的な歯科治療が必要となる可能性があります。
・稀に、治療中または治療後、顎関節に問題が生じる場合があり、それによって関節痛、頭痛または耳の障害が生じる場合があります。これらの症状と矯正治療との関係ははっきりしていません。
・稀に、金属・レジン等にアレルギー反応が発現する場合があります。








