こんにちは
今回のブログもマウスピース型カスタムメイド矯正装置(以下インビザライン)にて治療をされた患者様の症例をご紹介いたします。
この患者K様は、32歳女性です。
主訴は、前歯が出ていることと咬み合わせでした。
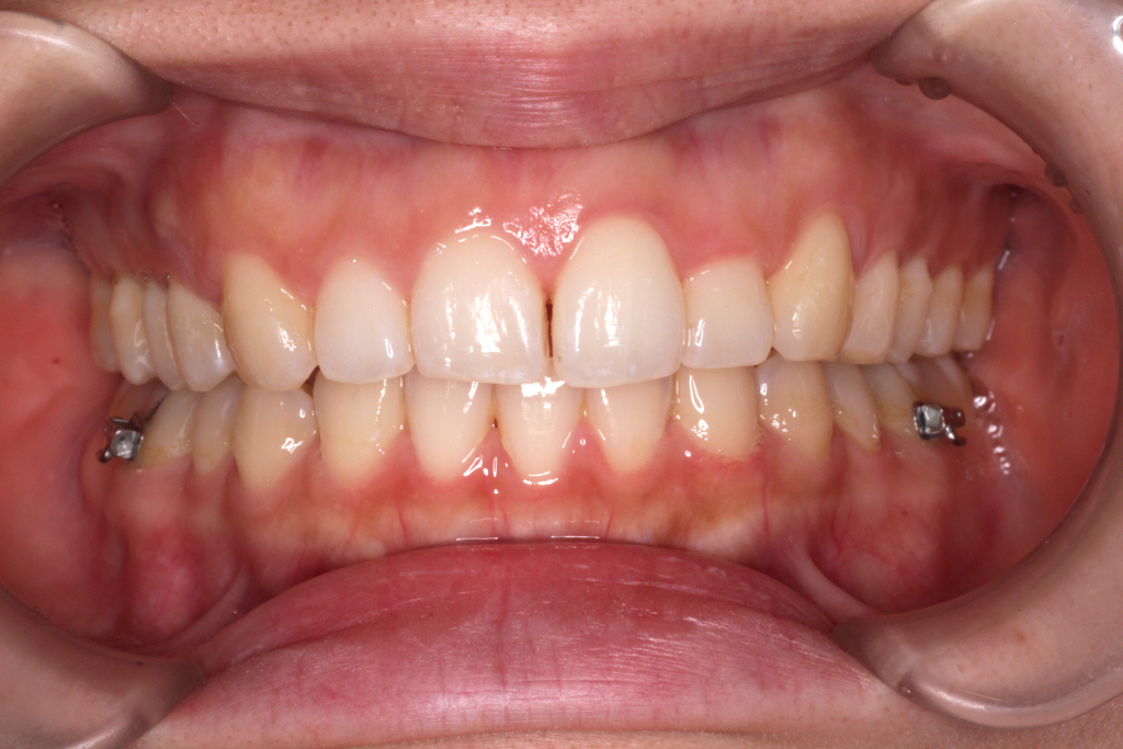
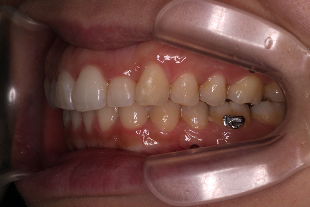
こちらが初診時の口腔内写真です。



上の歯と下の歯の中心がずれています。
また、通常「下の歯2歯に対し上の歯が1歯」というのが正常な歯並びですが
この患者様の場合、右側のみ下の歯が1歯に対し上の歯が1歯になっている事が分かります。
つまり右の咬み合わせは出っ歯の咬み合わせなので上の歯を後ろに下げる必要があります。
診断:上顎前突・上顎前歯部叢生・下顎左側切歯先天欠如
まず、カリエールモーションにて奥歯を下げる治療を行いました。
ゴムかけを始めて半年ほど経っても中々思うように動かなかった為
右の親知らずのみ抜歯をしそのスペースを使って奥歯を後ろに下げました。
結果的に約1年程期間がかかりました。
途中ゴムかけができていなかったことも期間が長引いてしまった
原因と考えられます。
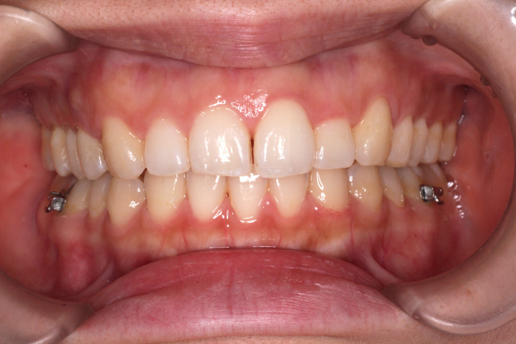
こちらがカリエールモーション終了時の口腔内写真です。



正中のずれが治ってきているのと、
上の前歯のがたつきが少しよくなっているのが分かります。
また、右の奥歯が1歯分後ろにさがっている事が分かります。
この状態まできたら、カリエールモーションの装置をはずし
今度はインビザラインにて治療を行っていきます。
歯に米粒位の大きさの樹脂をつけその歯を重点的に動かす(アタッチメント)と
歯を削り歯が並ぶ為のスペースを確保しました。(IPR)
また、カリエールモーションで後ろに下げた奥歯が前に戻らないように
インビザラインでのゴムかけも一緒に行いました。
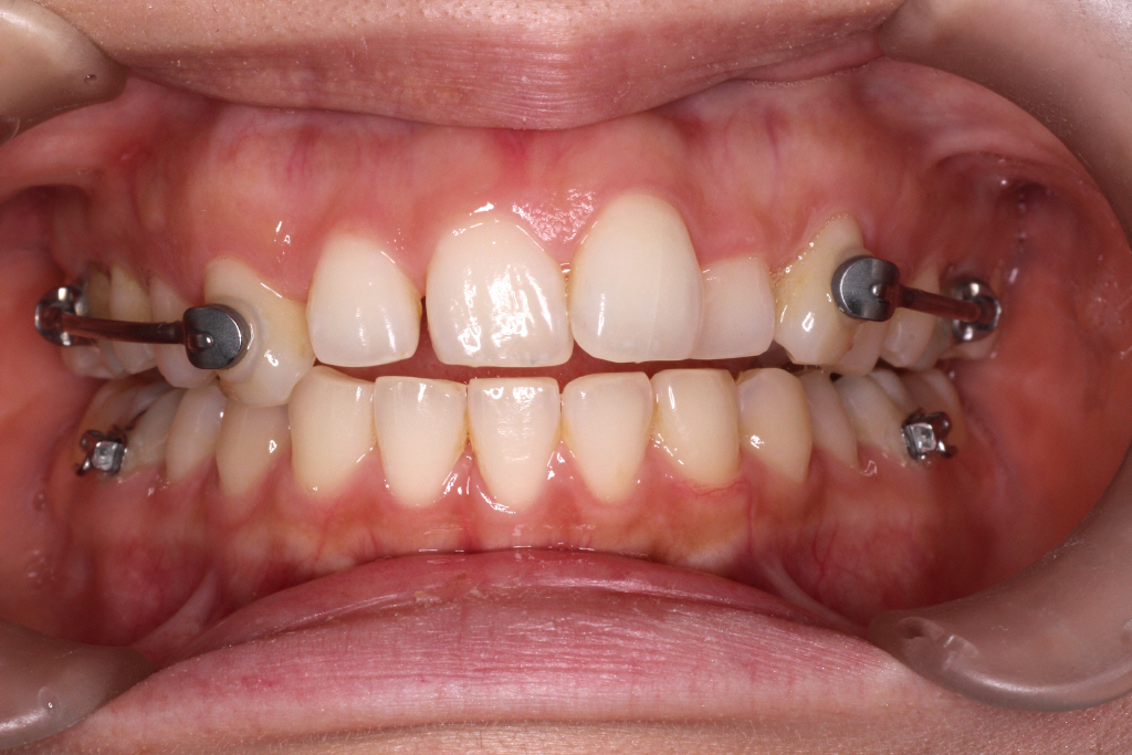
インビザラインでゴムかけする場合は、写真のような方法でゴムかけをします。

(こちらの写真は当院スタッフの口腔内です)
下の奥歯にボタン(ゴムをかける為のフック)をつけ固定します。
上のマウスピースはゴムがかけられるような仕組みになっているので
下のボタンと上のマウスピースにゴムをかける事で遠心力で上の奥歯を後ろにさげます。
そして、約1年後に再度微調整を行う為の新しいマウスピースを作製する為
お口の型取りを行いました。(リファイメント)
リファイメントする前と後と合わせて合計82個のマウスピースを使用しました。
現在インビザラインの治療を始めてから1年半ほどかかりましたが、
順調に治療が進んでおり約6ヶ月後くらいには保定の段階へ進める予定です。
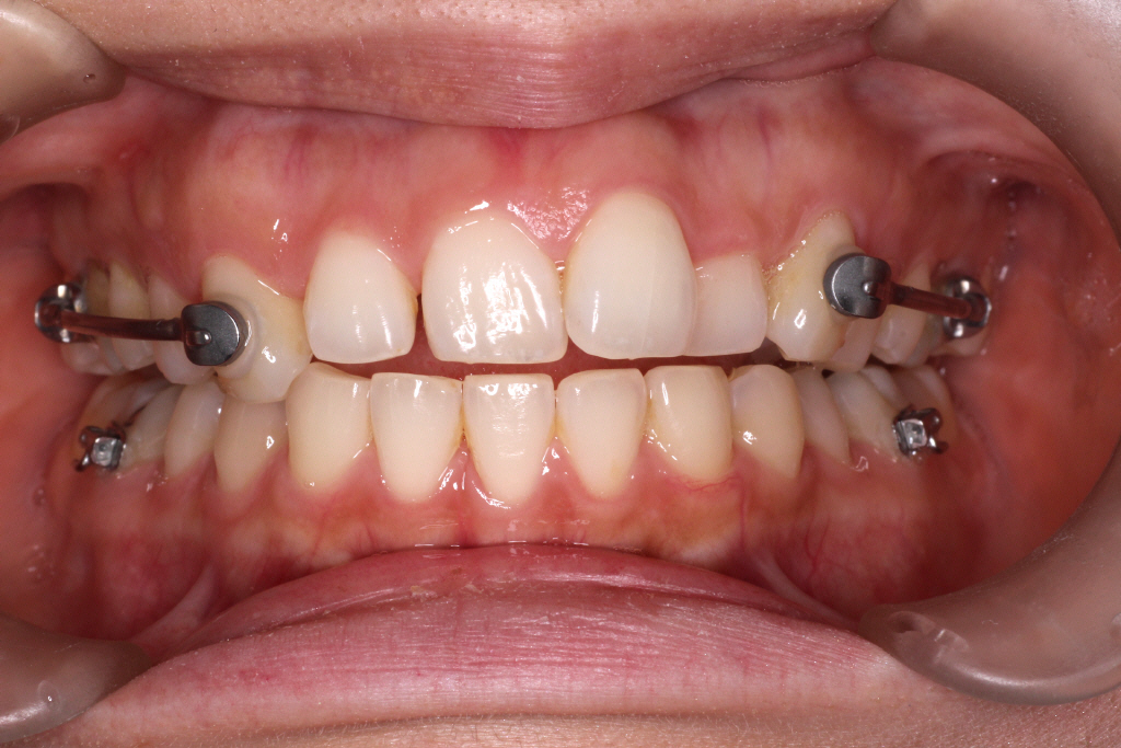
こちらが現在の口腔内写真です。



歯並びの事が少しでも気になる方、
どんなことでも構いませんのでお気軽にお問い合わせ下さい。
☎0566-73-0311
矯正料金
検査料:40000円(税抜き)
基本施術料:700000円(税抜き)
保定料:40000円(税抜き)
調整料:4000円(税抜き)
リスク・デメリットについて
・矯正調整後、歯の痛みが生じることがあります。基本的には一時的なものなので数日で慣れてきます。
・歯肉、頬及び唇に、矯正装置による擦り傷または痛みが生じる場合があります。当院では痛みを軽減できるワックスを渡しています。
・患者様が飲食後適切に歯磨及びフロス等の補助器具を行なわなかった場合、 虫歯・歯周病・歯肉炎・脱灰等が生じる可能性があります。当院では矯正の途中で虫歯ができた場合他院様を紹介させていただきます。
・矯正装置装着により一時的に発音に影響を与える場合があります。
・咬合状態が治療過程全体を通して変化する場合があり、結果として患者様に一時的な不快感を与える可能性があります。
・矯正治療の最終段階で、咬合調整が必要となる場合があります。
・長期間にわたって重なっていた歯は、歯間接触下部の歯肉組織が失われている場合があり、歯列矯正を行うことで、「ブラックトライアングル」が発生する可能性があります。
・矯正治療中、歯根の長さが短くなる場合がありますが、臨床的に問題ないことがほとんどです。
・矯正中、歯の移動に伴い稀に歯の神経が壊死することがあります。その際歯内治療もしくは追加的な補綴修復処置等の追加的な歯科治療が必要となる可能性があります。
・稀に、治療中または治療後、顎関節に問題が生じる場合があり、それによって関節痛、頭痛または耳の障害が生じる場合があります。これらの症状と矯正治療との関係ははっきりしていません。
・稀に、金属・レジン等にアレルギー反応が発現する場合があります。








