こんにちは![]()
気温が最近また上がってきましたね![]()
体調管理をしっかりしましょうね![]()
今回は、またまた最適アタッチメントについて説明していきたいと思います。
前回までは、圧下する時のアタッチメント、挺出するときのアタッチメント、回転する時のアタッチメントと
一歯につき一つの動きをさせるアタッチメントについて説明してきました。
しかし一歯につきさせたい動きが一つとは限りません。
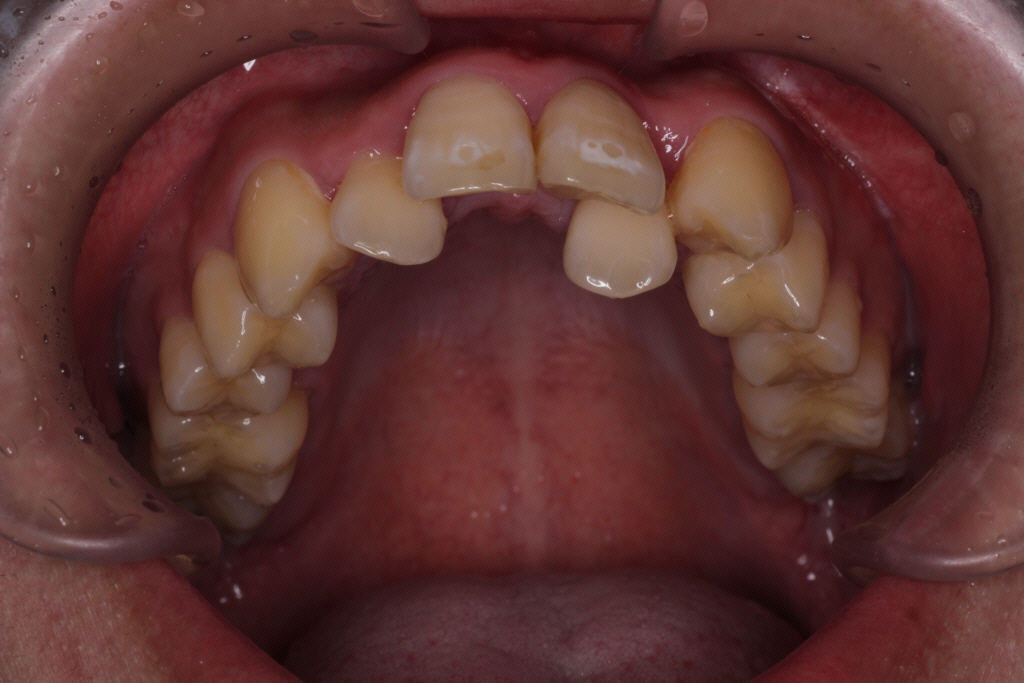
例えば、治療中の上顎側切歯(上の前から二番目の歯)の移動は、挺出、唇舌側傾斜、回転と
組み合わせるということもあります。
アライナー治療における大きな進歩は、多くの移動からなるこうした複雑な歯牙の動きに対して
最適な力のかけ方が決定され、
次に必要な力のかけ方を生み出すのに必要な機能の組み合わせが決められる、ということです。
ソフトウェアが決定した通りに最適アタッチメントが歯牙唇側面(表側)の1カ所に設置され(下図のピンクのポッチ)、
アライナーの舌側面に第二のフォースを生み出すため(赤丸)、
アライナーにプレッシャーポイントが加工させる。(アライナーが一部くぼんでいる)
二つの機能が組み合わさり、複雑な3次元移動に適したフォースシステムが生み出されます。
ソフトウェアで可能となったこの最適アタッチメントは、上顎側切歯の3次元移動を目的にしており、
マルチプレーン挺出用アタッチメントと呼ばれています。
しかしこんなにも考えられたアタッチメントでも上顎の側切歯を思い通りに動かすのは難しいのです![]()
日本人は特に上顎の一番目の歯に比べて著しく二番目の歯が小さいことが多いです。(下図)
さらに二番目の歯が一番目の歯よりも後ろに生えてきて一番に隠れていることも多いです。(下図)
そうなると、歯の重なりによってアタッチメントのつけれる場所が限定されます。
また、歯が重なっているとその歯だけをアライナーで囲い込むことができず、
どうしてもフィットが悪くなってしまいます。![]()
そういう時は、補助装置を使ったり、もう一度お口の中をスキャンし直して設計し直したりします。![]()
補助装置についてはまたいつか説明していきます。![]()
次回は、最後の最適アタッチメントについて説明していきたいと思います。
TEL 0566-73-0311












